Adamantinoma
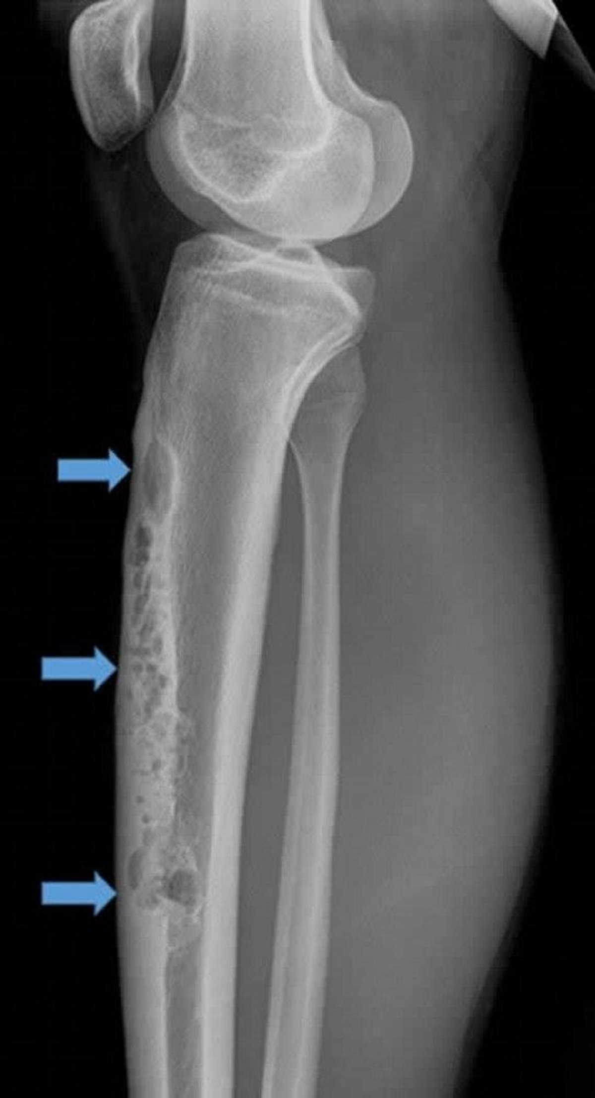
This lateral radiograph of right tibia shows a large anterior intracortical adamantinoma (arrows). Note the permeative, osteolytic "soap bubble" appearance.
Image courtesy of Michael J. Joyce, MD, and Hakan Ilaslan, MD.
In these topics
This lateral radiograph of right tibia shows a large anterior intracortical adamantinoma (arrows). Note the permeative, osteolytic "soap bubble" appearance.
Image courtesy of Michael J. Joyce, MD, and Hakan Ilaslan, MD.