Atlantoaxial Subluxation (CT Scan)
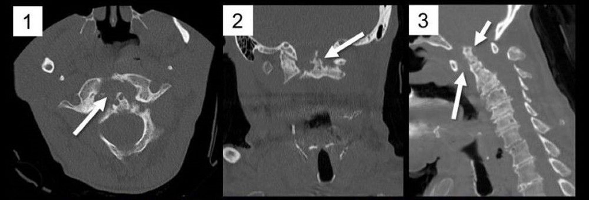
Multiplanar reformations of a CT scan of the cervical spine in the axial (1), coronal (2), and sagittal (3) planes show marked widening of the anterior atlantodental interval (ADI) secondary to pannus formation as occurs in rheumatoid arthritis (RA) (1, arrow; 3, long arrow), causing posterior subluxation and basilar impression of the C2 odontoid process (3, short arrow). The odontoid process is markedly eroded (2, arrow), a typical finding in RA.
Image courtesy of A. John Tsiouris, MD.
In these topics
