Cardiac CT Angiogram
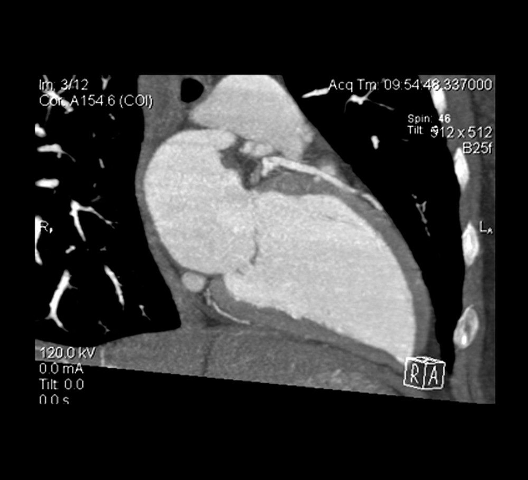
Cross sectional view of a cardiac CT angiogram shows the left ventricle and the left anterior descending artery.
LIVING ART ENTERPRISES, LLC/SCIENCE PHOTO LIBRARY
In these topics
Cross sectional view of a cardiac CT angiogram shows the left ventricle and the left anterior descending artery.
LIVING ART ENTERPRISES, LLC/SCIENCE PHOTO LIBRARY