Caries (on Examination)

Caries (on Examination)

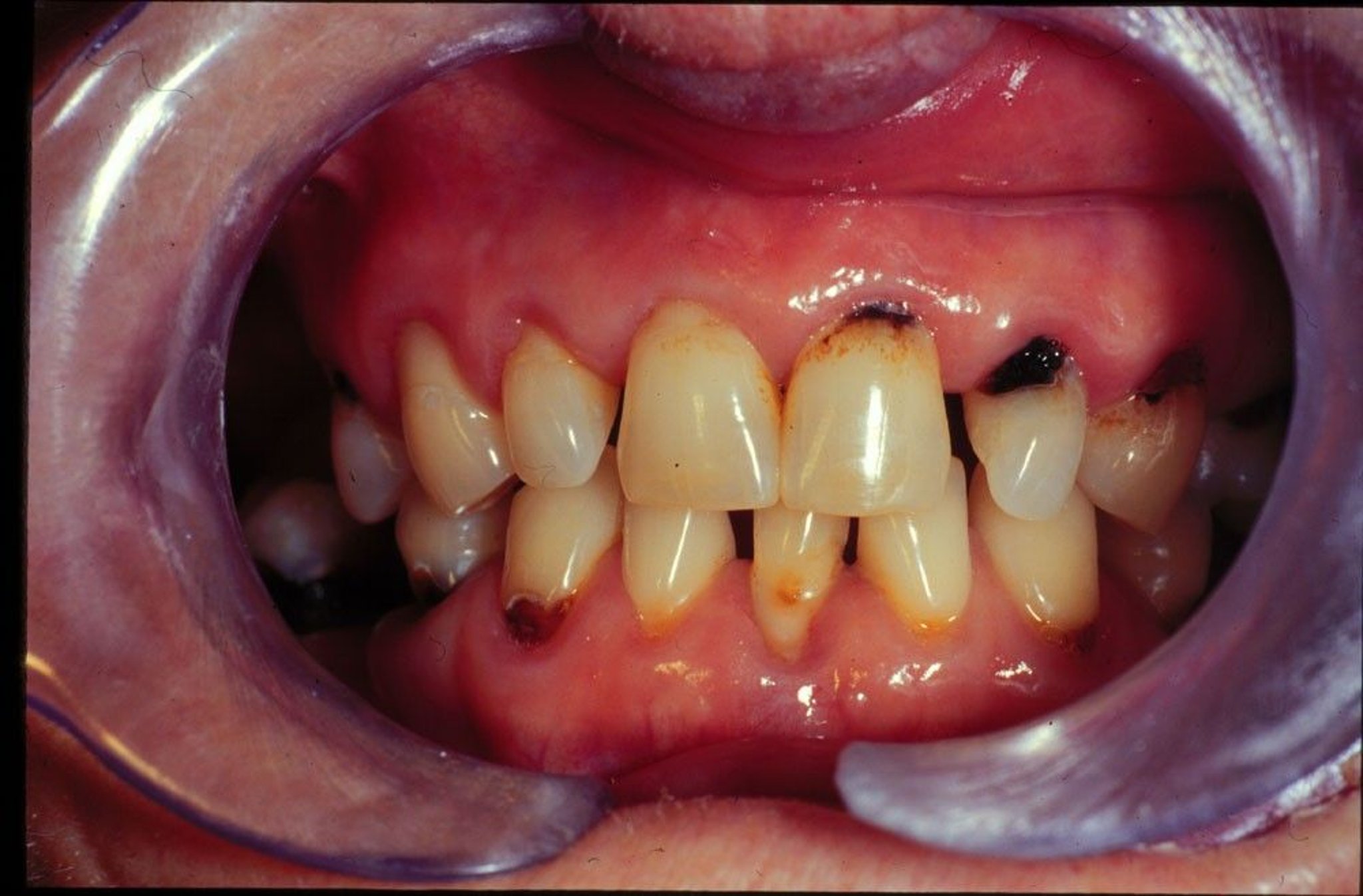
New and recurrent dental caries in a patient with dry mouth.

Image provided by Jonathan A. Ship, DMD.

In these topics