Chest CT Scan in Pulmonary Sarcoidosis
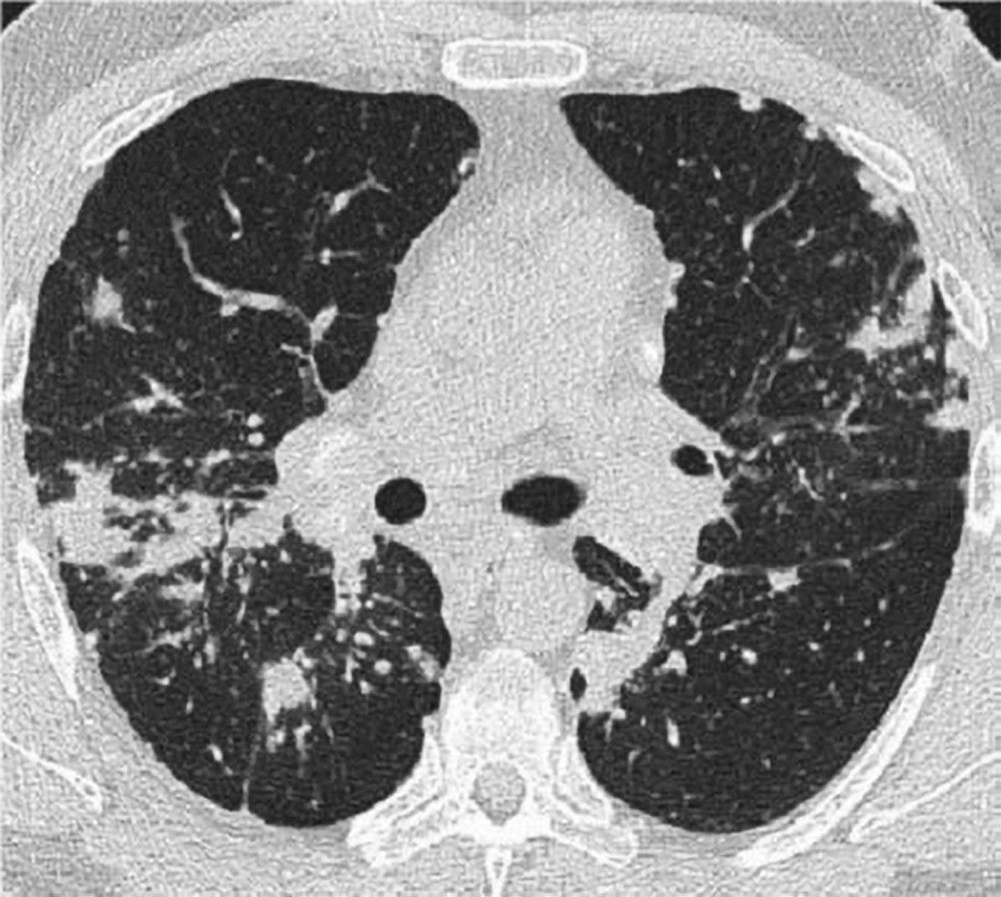
This high-resolution CT of the chest of a patient with pulmonary sarcoidosis shows thickening of the bronchovascular bundles and beading of the interlobular septa.
Image courtesy of Birendra P. Sah, MD, FCCP.
In these topics
