Chondromyxoid Fibroma
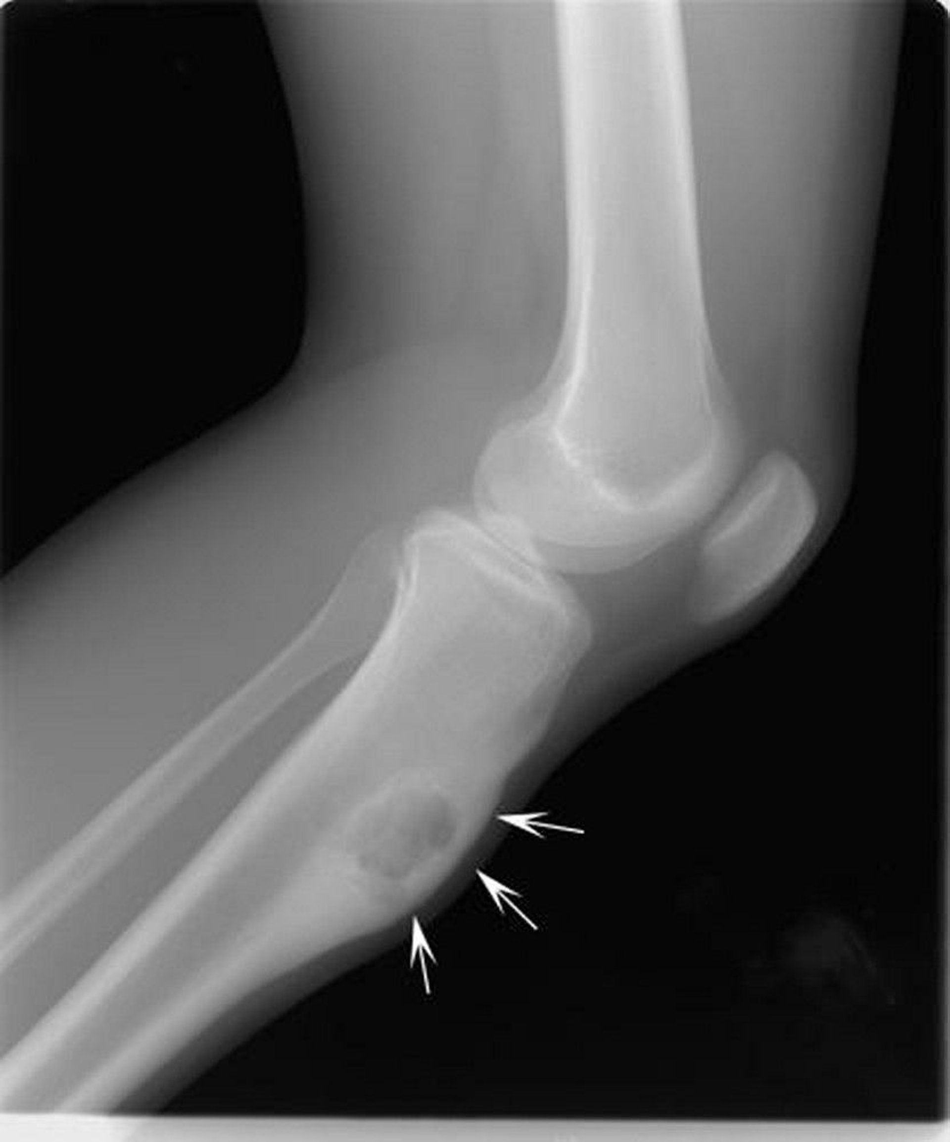
This radiograph of the knee shows a chondromyxoid fibroma in the tibia below the knee (arrows), expanding the bone in the front.
Image courtesy of Michael J. Joyce, MD, and Hakan Ilaslan, MD.
In these topics
This radiograph of the knee shows a chondromyxoid fibroma in the tibia below the knee (arrows), expanding the bone in the front.
Image courtesy of Michael J. Joyce, MD, and Hakan Ilaslan, MD.