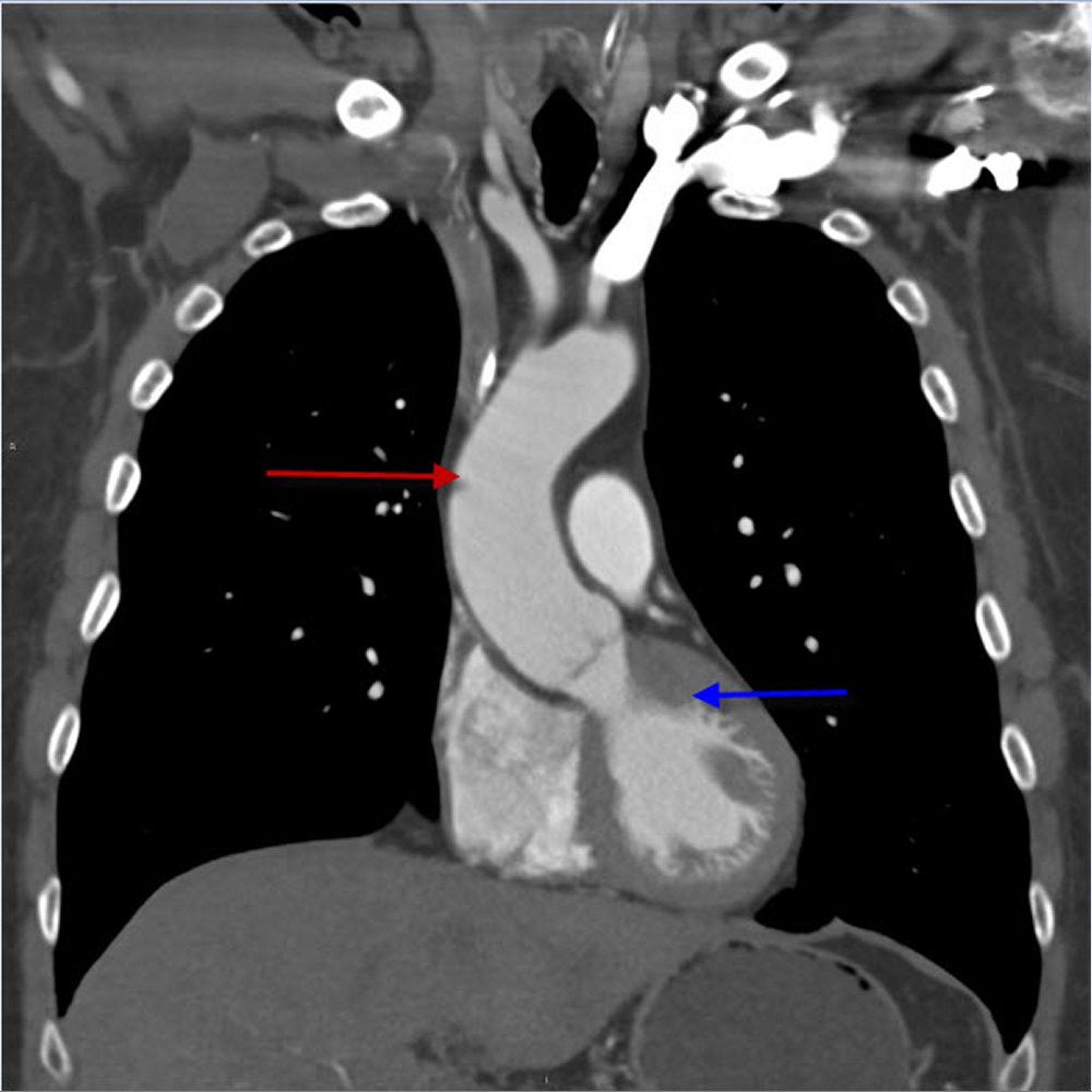
CTA (Coronal View) of Thorax Showing Ascending Thoracic Aorta
This image shows the ascending thoracic aorta (red arrow) arising from the left ventricle (blue arrow).
© 2017 Elliot K. Fishman, MD.
In these topics
This image shows the ascending thoracic aorta (red arrow) arising from the left ventricle (blue arrow).
© 2017 Elliot K. Fishman, MD.