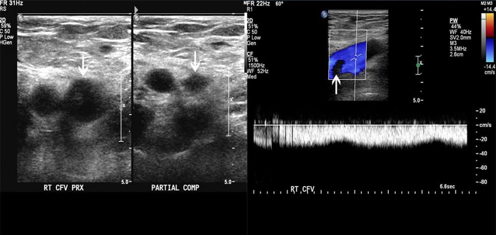
Doppler Ultrasound of a Patient with a Thrombus in Femoral Vein
The image on the left shows partial compressibility of the common femoral vein (arrows). The image on the right shows a filling defect on color Doppler flow. These findings are consistent with thrombus.
© 2017 Elliot K. Fishman, MD.
In these topics
