Esophagography with Water-Soluble Contrast
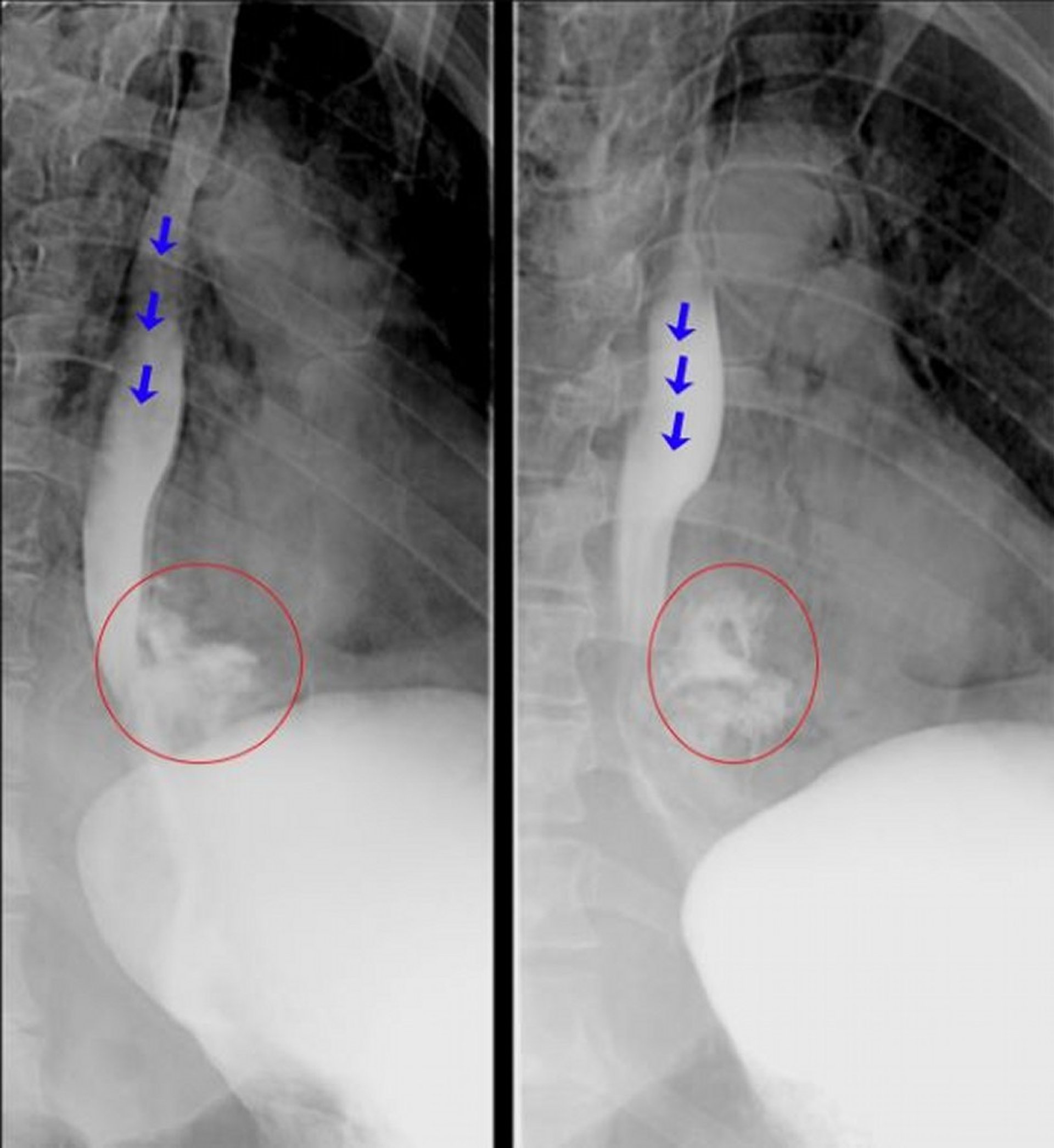
These fluoroscopic esophagograms show frank extravasation of contrast material from the distal esophagus consistent with an esophageal perforation. The blue arrows highlight contrast material within the lumen of esophagus. The red circles highlight contrast material that has extravasated out of the esophagus.
© Springer Science+Business Media
In these topics
