Fibrous Dysplasia
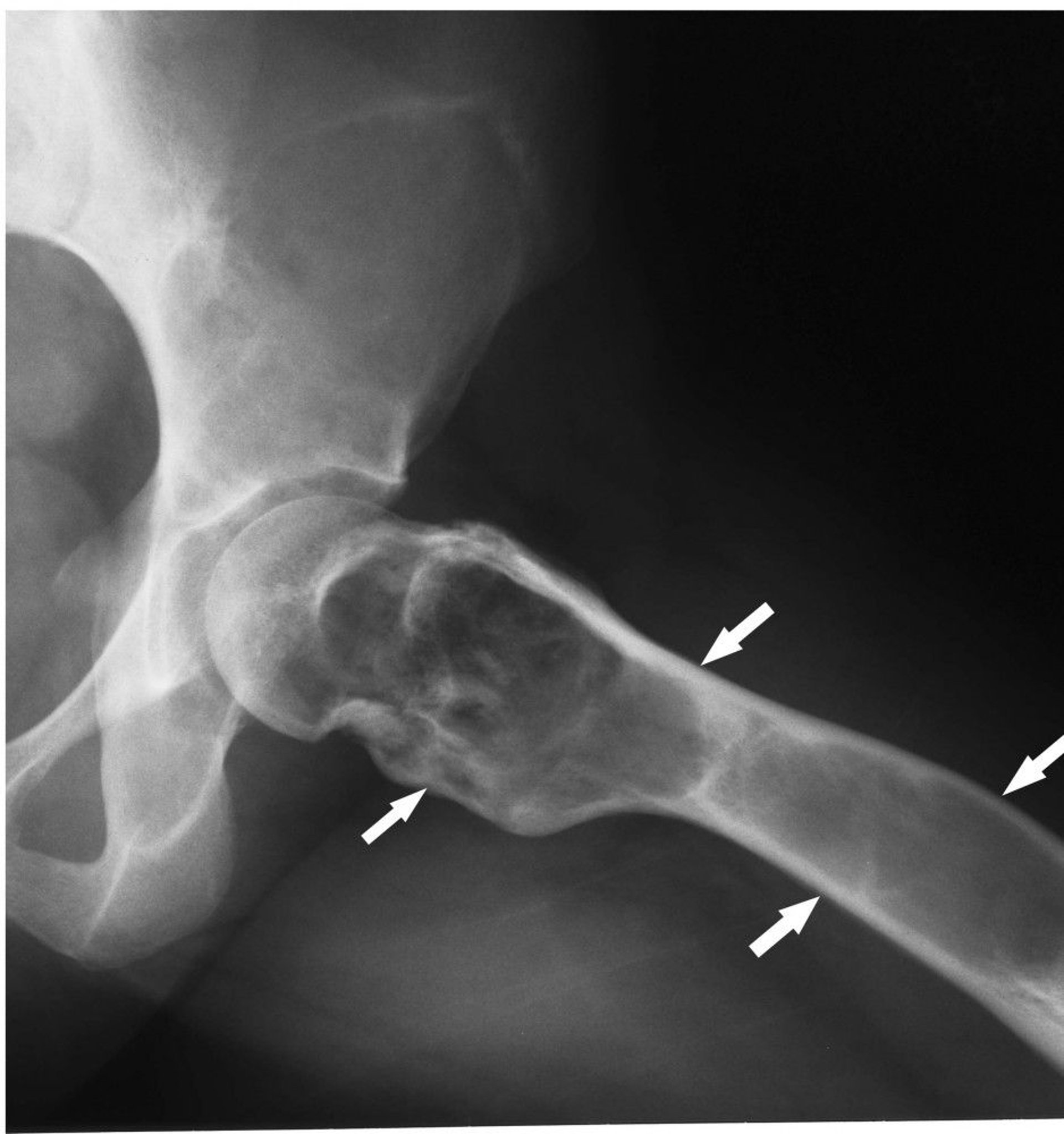
This radiograph of the hip shows fibrous dysplasia (arrows) with cortical expansion and ground-glass matrix.
Image courtesy of Michael J. Joyce, MD, and Hakan Ilaslan, MD.
In these topics
This radiograph of the hip shows fibrous dysplasia (arrows) with cortical expansion and ground-glass matrix.
Image courtesy of Michael J. Joyce, MD, and Hakan Ilaslan, MD.