Giant Cell Tumor of Bone
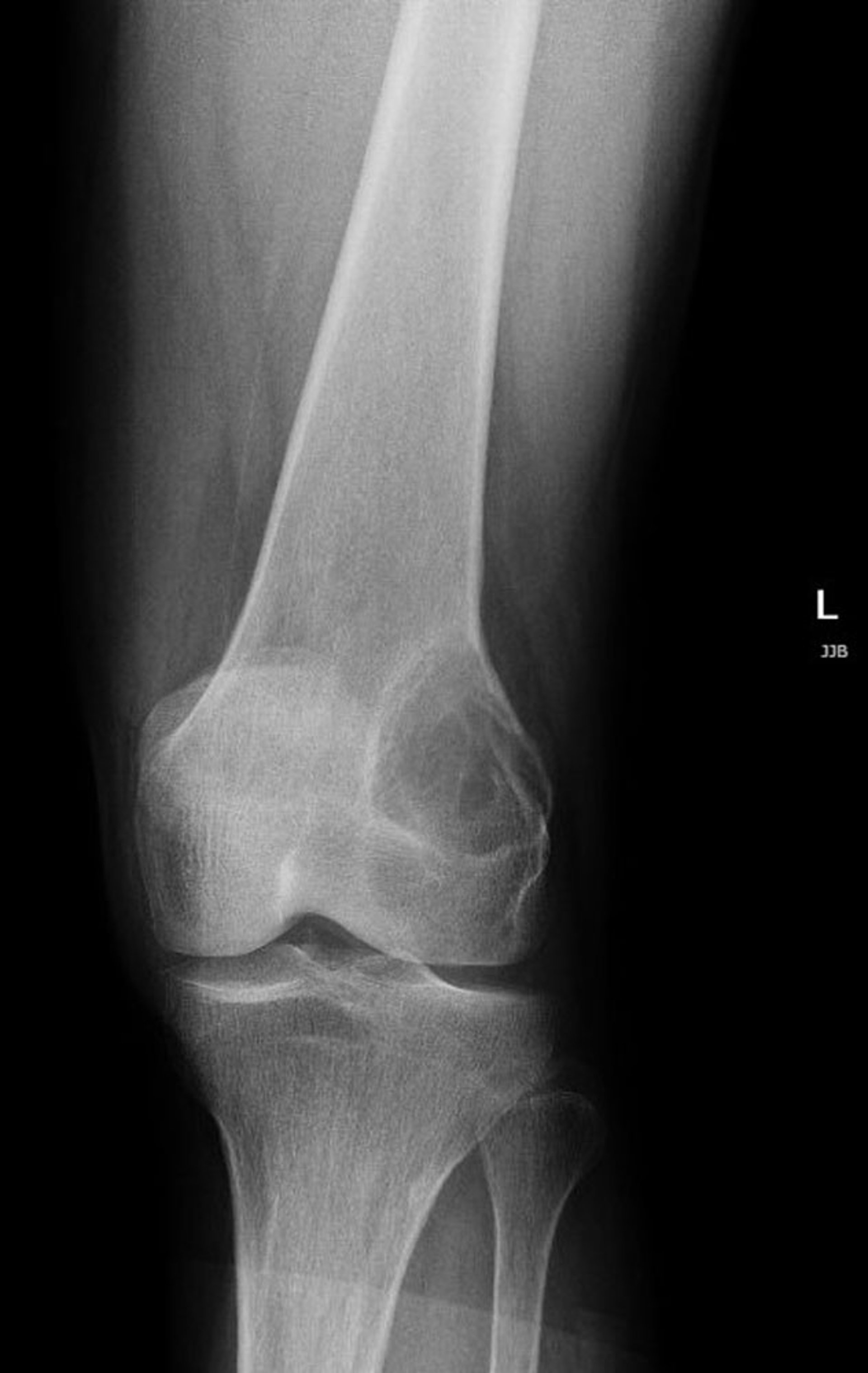
This radiograph of the knee shows a radiolucent lesion in the lateral distal femur above the knee, which is characteristic of a giant cell tumor of bone.
Image courtesy of Lukas Nystrom, MD.
In these topics
This radiograph of the knee shows a radiolucent lesion in the lateral distal femur above the knee, which is characteristic of a giant cell tumor of bone.
Image courtesy of Lukas Nystrom, MD.