Giant Cell Tumor of Bone (CT Scan)
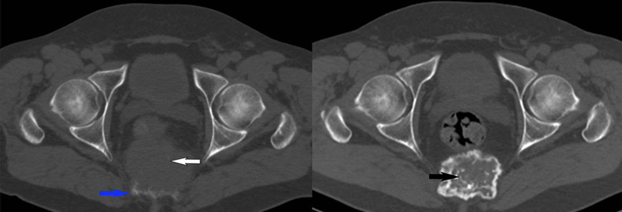
This axial CT scan (left) shows a lytic lesion of the sacrum (bottom blue arrow) with anterior soft tissue mass (top white arrow). A biopsy confirmed giant cell tumor of bone. Following denosumab treatment, the follow-up CT scan (right) shows progressive ossification of the tumor (bottom black arrow) without an increase in size.
Image courtesy of Michael J. Joyce, MD, and Hakan Ilaslan, MD.
In these topics
