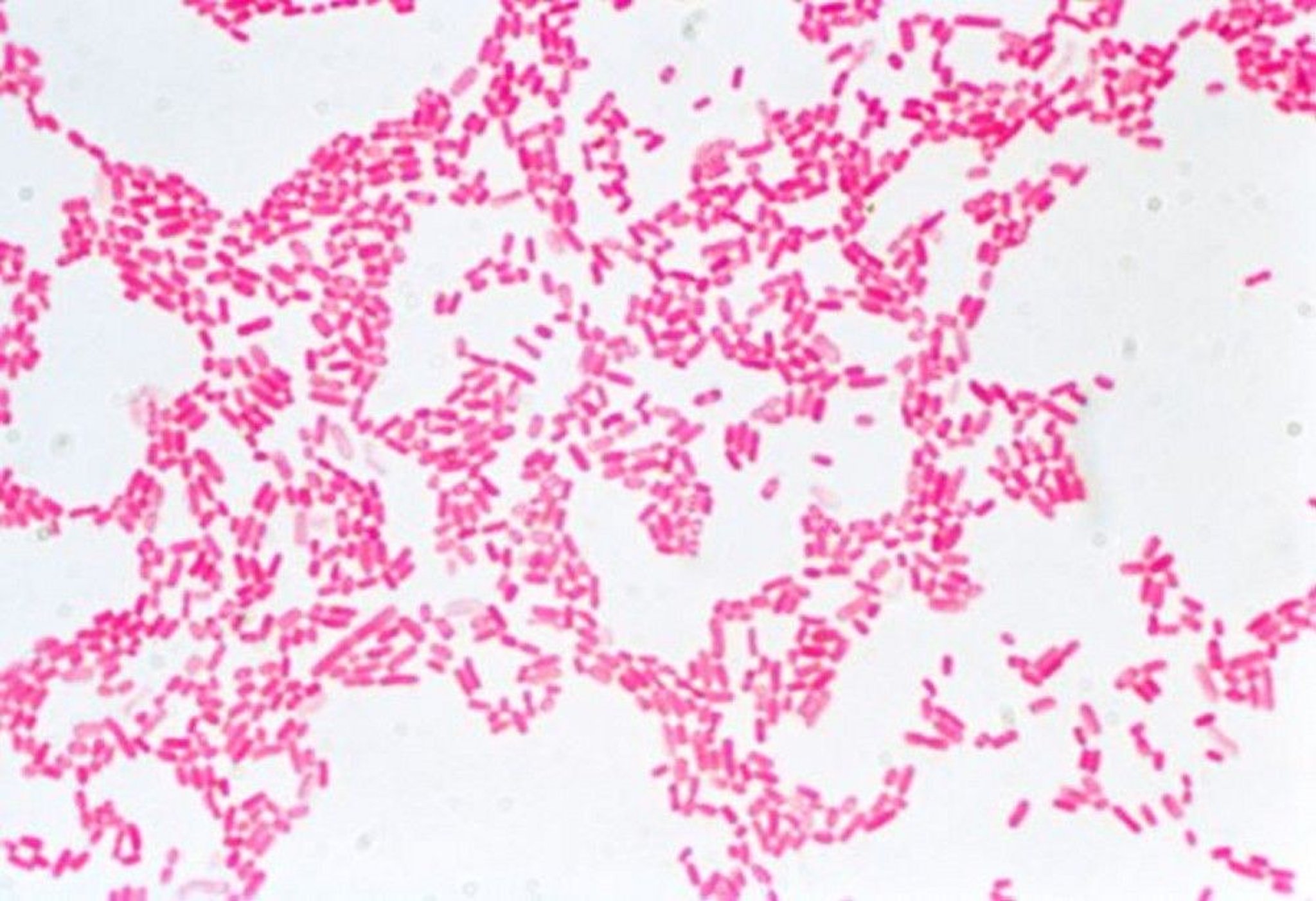
Gram Stain (Escherichia coli)
This image is a light micrograph of Gram-stained E. coli, rod-shaped, motile bacteria. Their red color indicates they are Gram-negative. Magnification is 400X at 35-mm size.
DR. ROSALIND KING/SCIENCE PHOTO LIBRARY
In these topics
