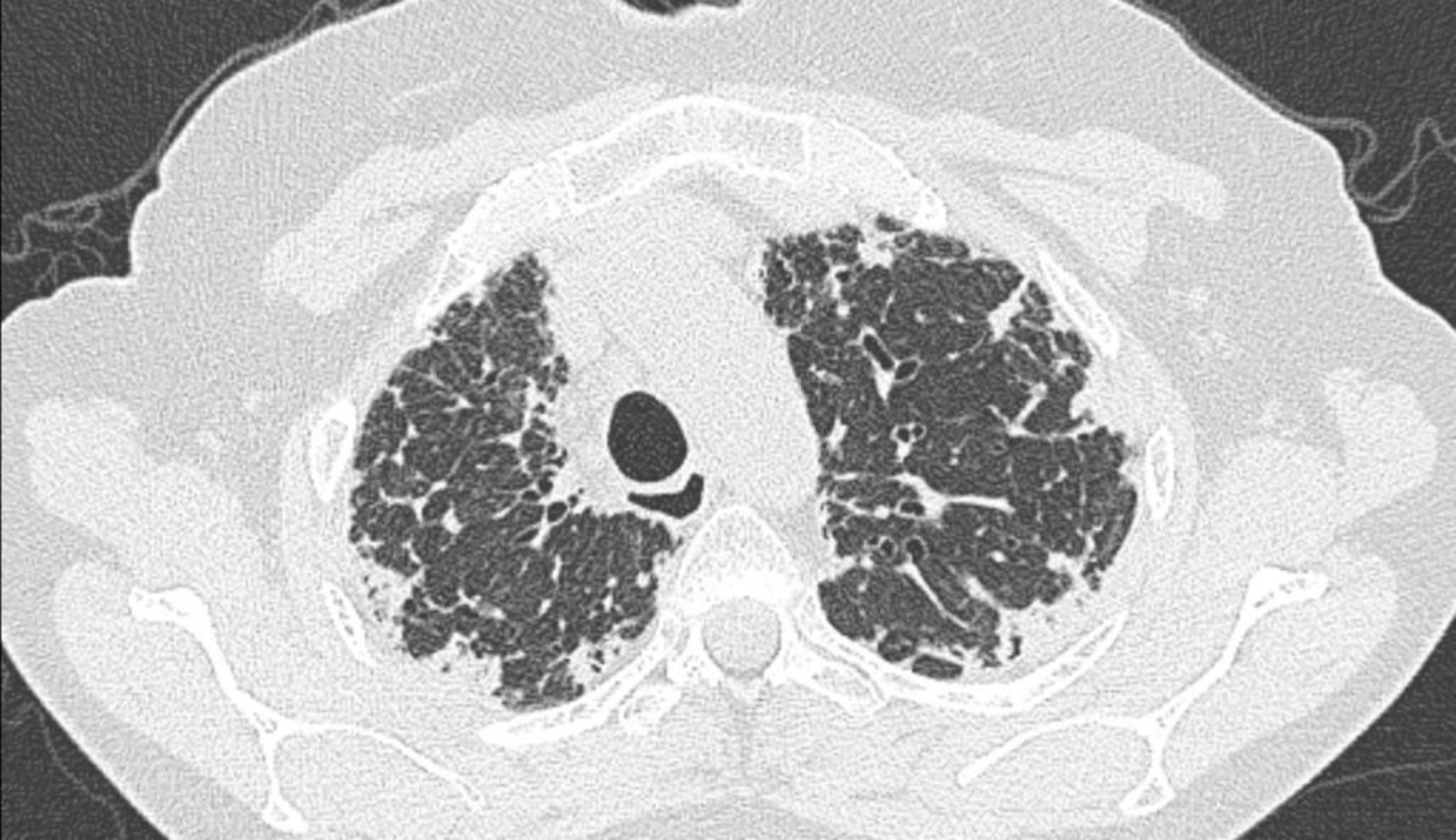
Idiopathic Pleuroparenchymal Fibroelastosis (CT Scan)
CT scan of the chest shows pleural and subpleural thickening.
Image courtesy of Joyce S. Lee, MD, MAS.
In these topics
CT scan of the chest shows pleural and subpleural thickening.
Image courtesy of Joyce S. Lee, MD, MAS.