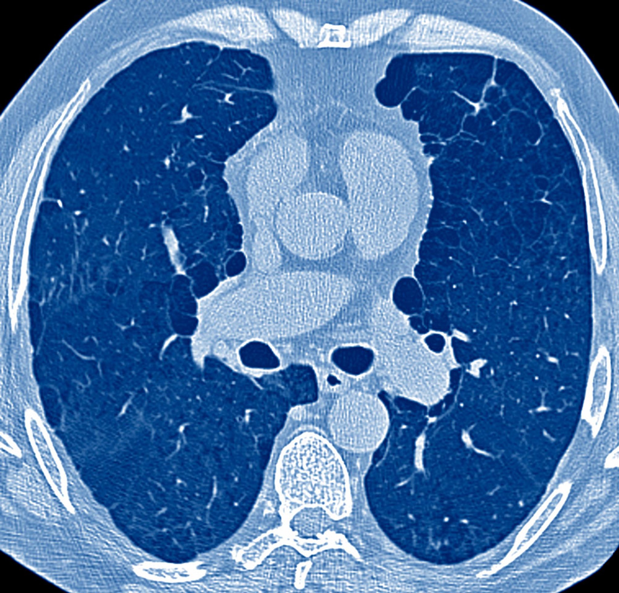
Increased Anterior-Posterior (AP) Diameter in Emphysema
This image shows markedly increased AP diameter with emphysematous changes in a CT scan of a patient who smokes. A barrel chest would be noted on physical examination.
PNMB/SCIENCE PHOTO LIBRARY
In these topics
