Ischemic Stroke in the Left Middle Cerebral Artery (CT)
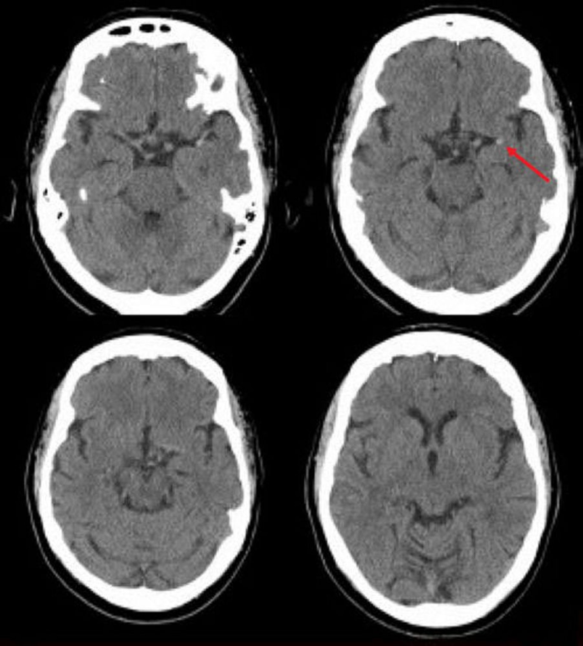
This noncontrast head CT scan shows a hyperdense left middle cerebral artery. This finding indicates a focal clot in the left middle cerebral artery (arrow).
Image courtesy of Ji Y. Chong, MD.
In these topics
