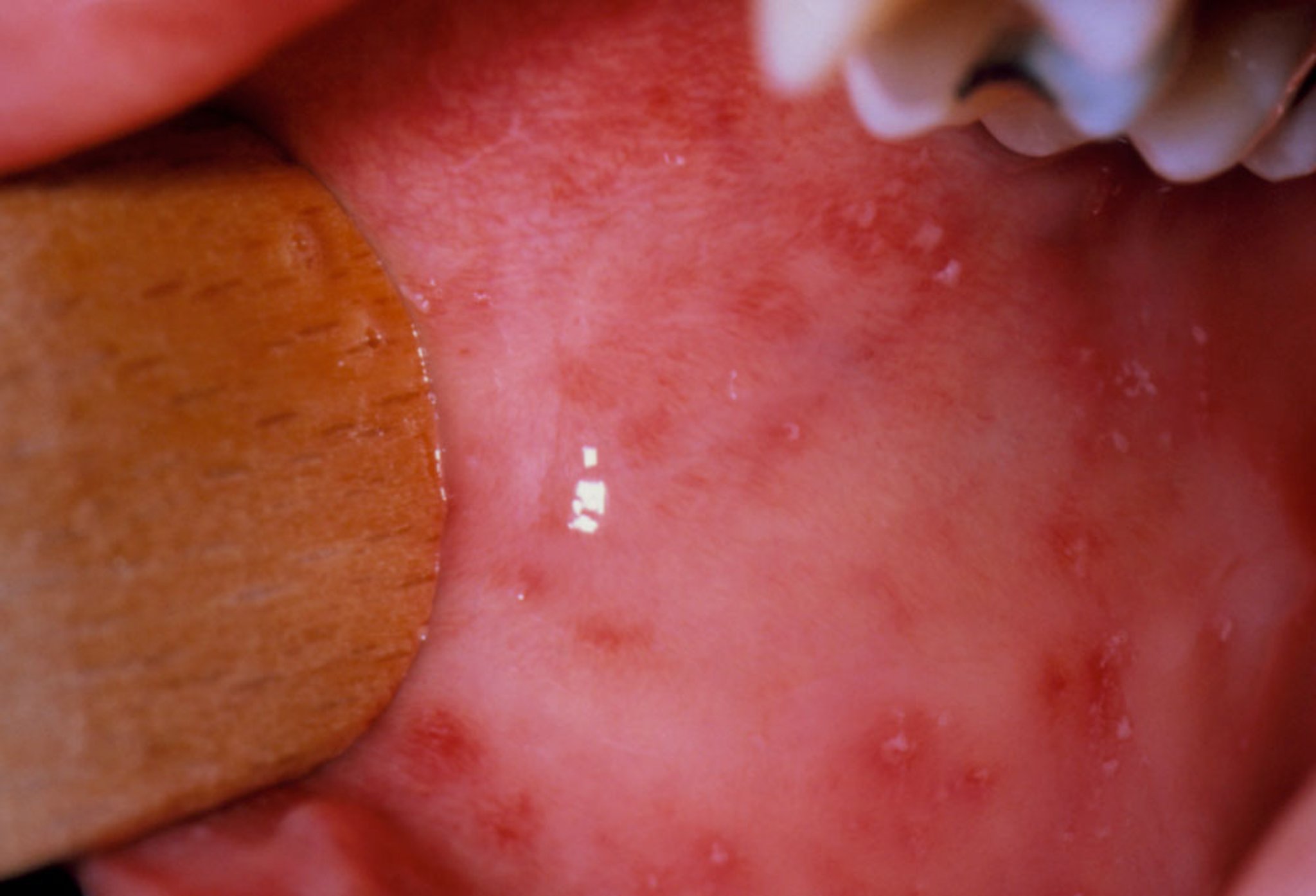
Koplik Spots in Measles (2)
Koplik spots are classically described as being bright red spots with white or bluish-white centers that may resemble grains of sand. They may occur anywhere in the mouth, often precede the generalized exanthem, and are pathognomonic for measles (rubeola).
DR P. MARAZZI/SCIENCE PHOTO LIBRARY
In these topics
