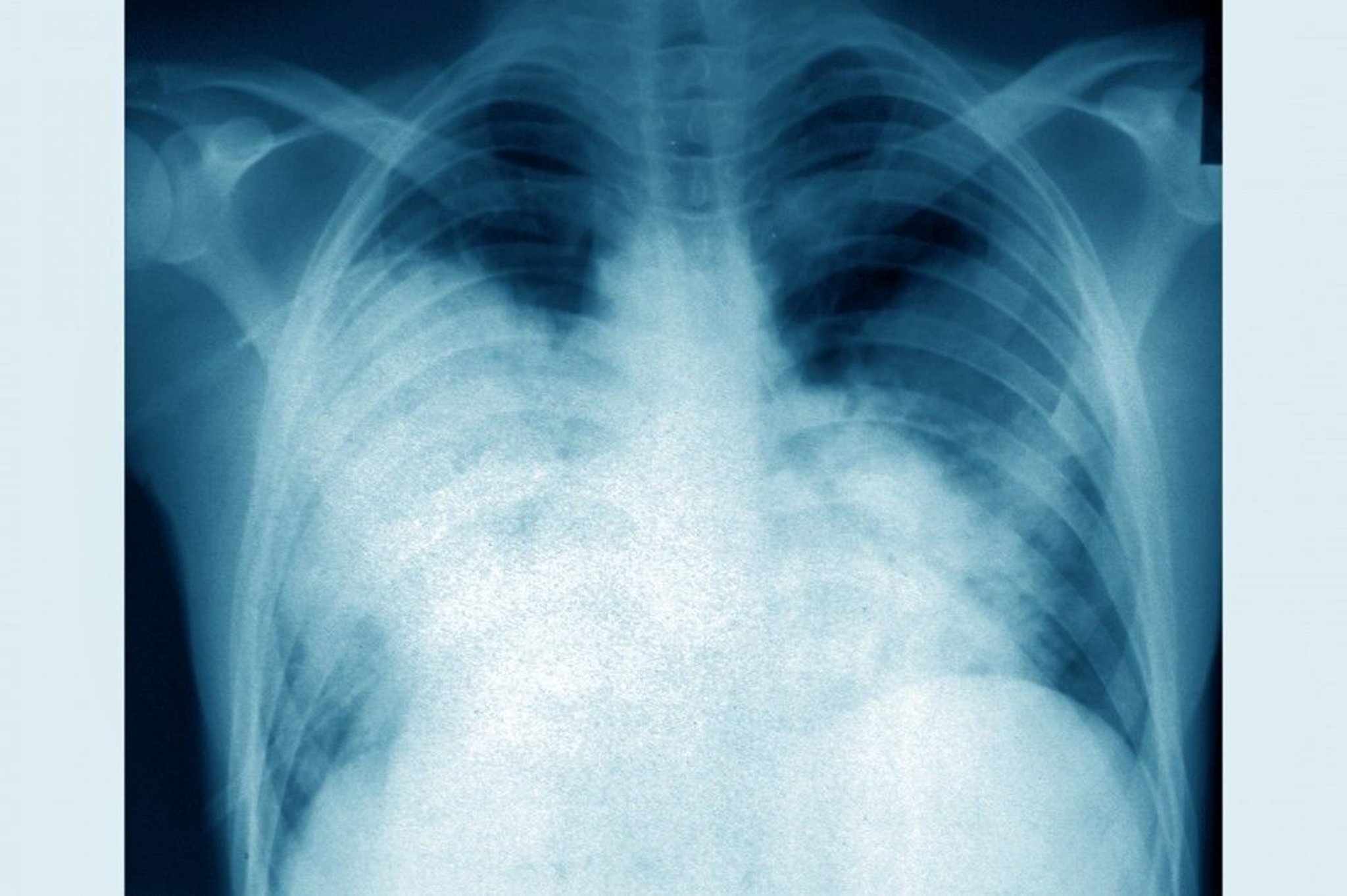
Legionnaire's Disease (Chest Radiograph)
This frontal chest radiograph shows acute bilateral pneumonia (legionnaires' disease caused by Legionella pneumophila).
CAVALLINI JAMES/BSIP/SCIENCE PHOTO LIBRARY
In these topics
This frontal chest radiograph shows acute bilateral pneumonia (legionnaires' disease caused by Legionella pneumophila).
CAVALLINI JAMES/BSIP/SCIENCE PHOTO LIBRARY