honeypot link
skip to main content
Professional
Consumer
Merck Manual
Professional Version
MEDICAL TOPICS
RESOURCES
DRUG INFO
COMMENTARY
PROCEDURES
QUIZZES
ABOUT US
MEDICAL TOPICS
RESOURCES
<
Images
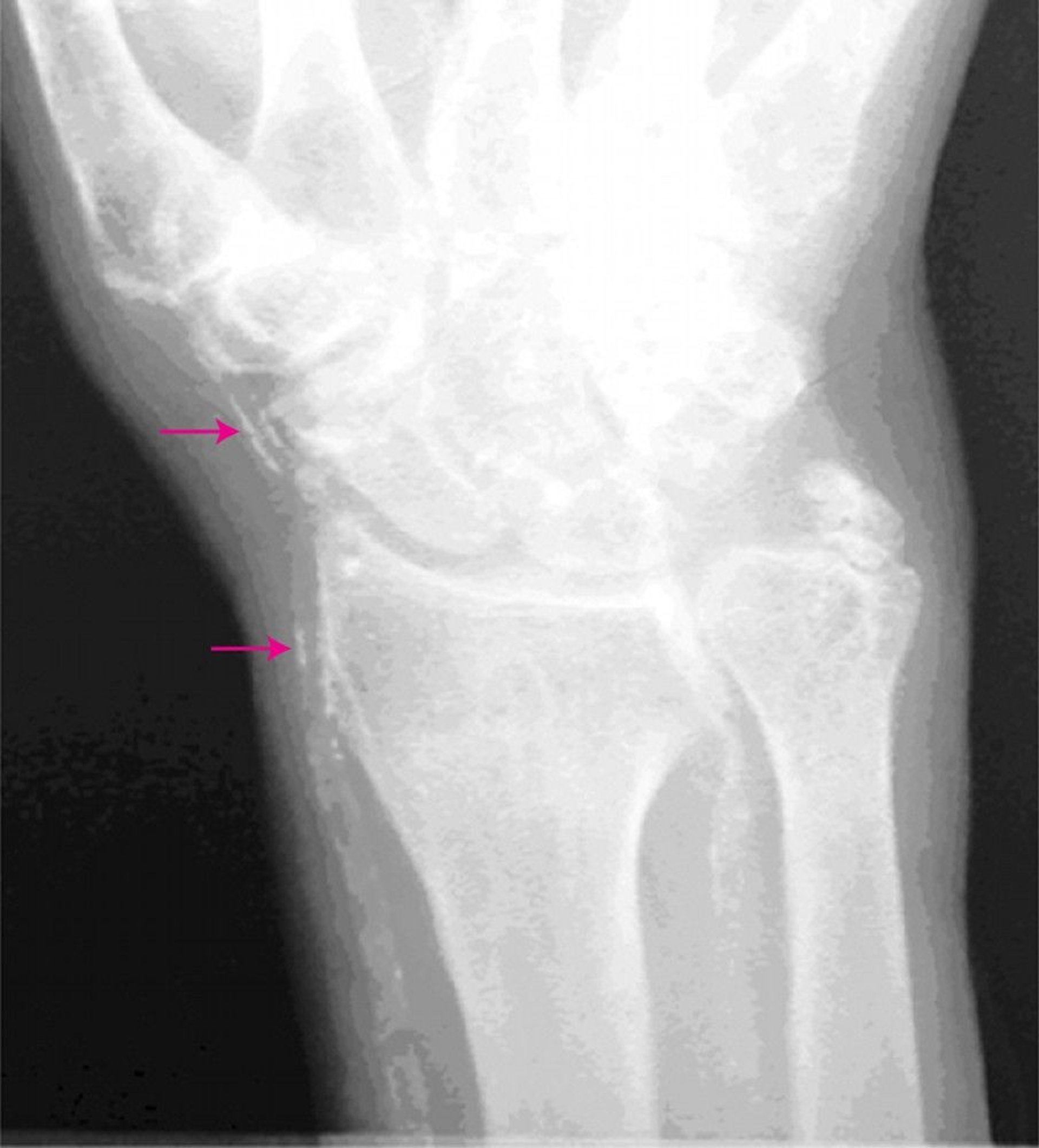
Mönckeberg Medial Calcific Sclerosis
This radiograph of the hand shows calcified arteries (arrows).
© Springer Science+Business Media
In these topics
Nonatheromatous Arteriosclerosis
>