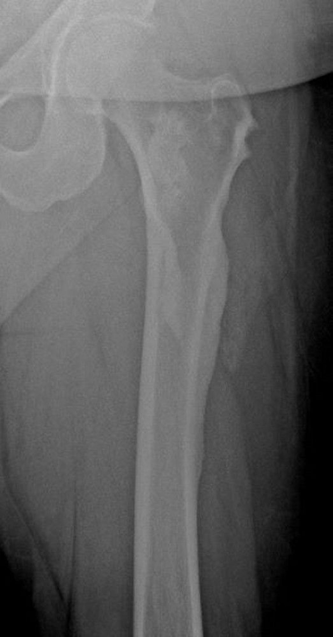
Melorheostosis (Dripping Candle Wax)
This radiograph shows the "dripping candle wax" appearance of melorheostosis in the femur; it is particularly apparent at the lateral femoral cortex.
Image courtesy of Michael J. Joyce, MD, and David M. Joyce, MD.
In these topics
