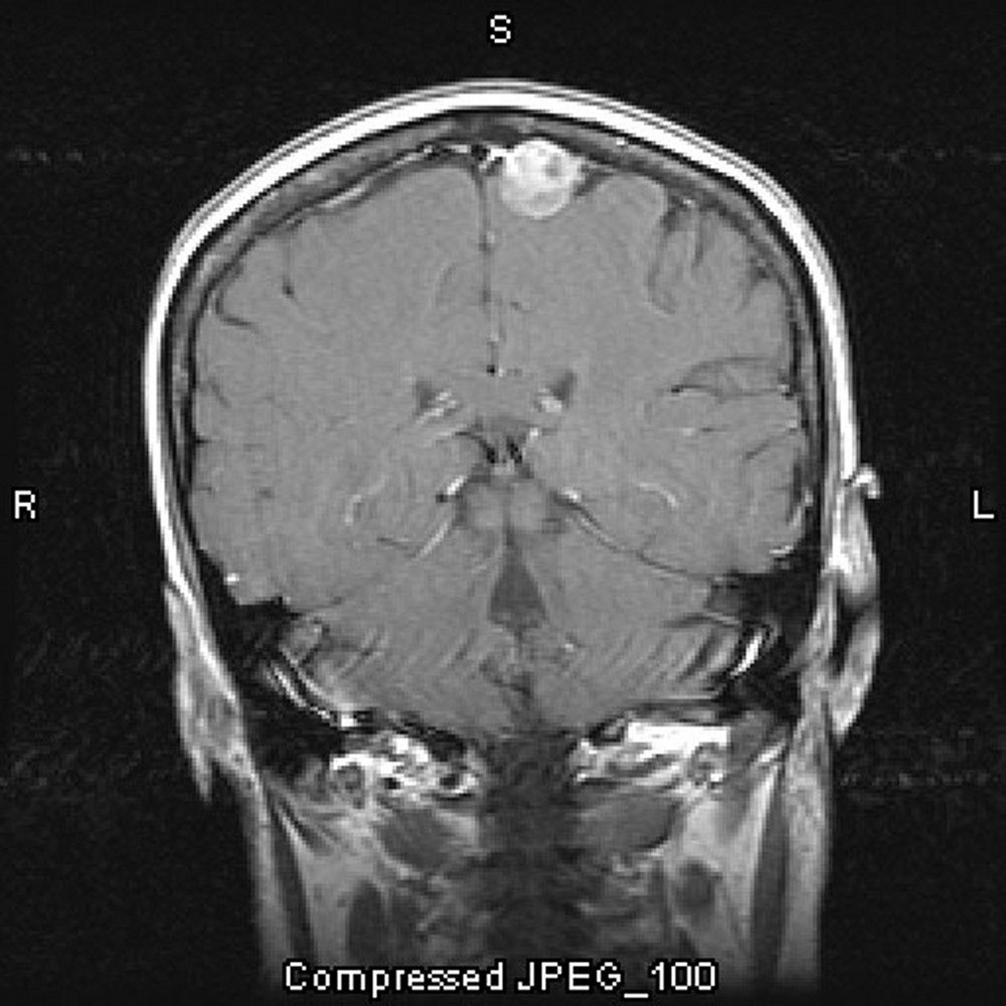
Meningioma, Parasagittal
This contrast-enhanced MRI scan shows a meningioma. The parasagittal location is a typical one for meningiomas.
Image courtesy of William R. Shapiro, MD.
In these topics
This contrast-enhanced MRI scan shows a meningioma. The parasagittal location is a typical one for meningiomas.
Image courtesy of William R. Shapiro, MD.