Neurocysticercosis
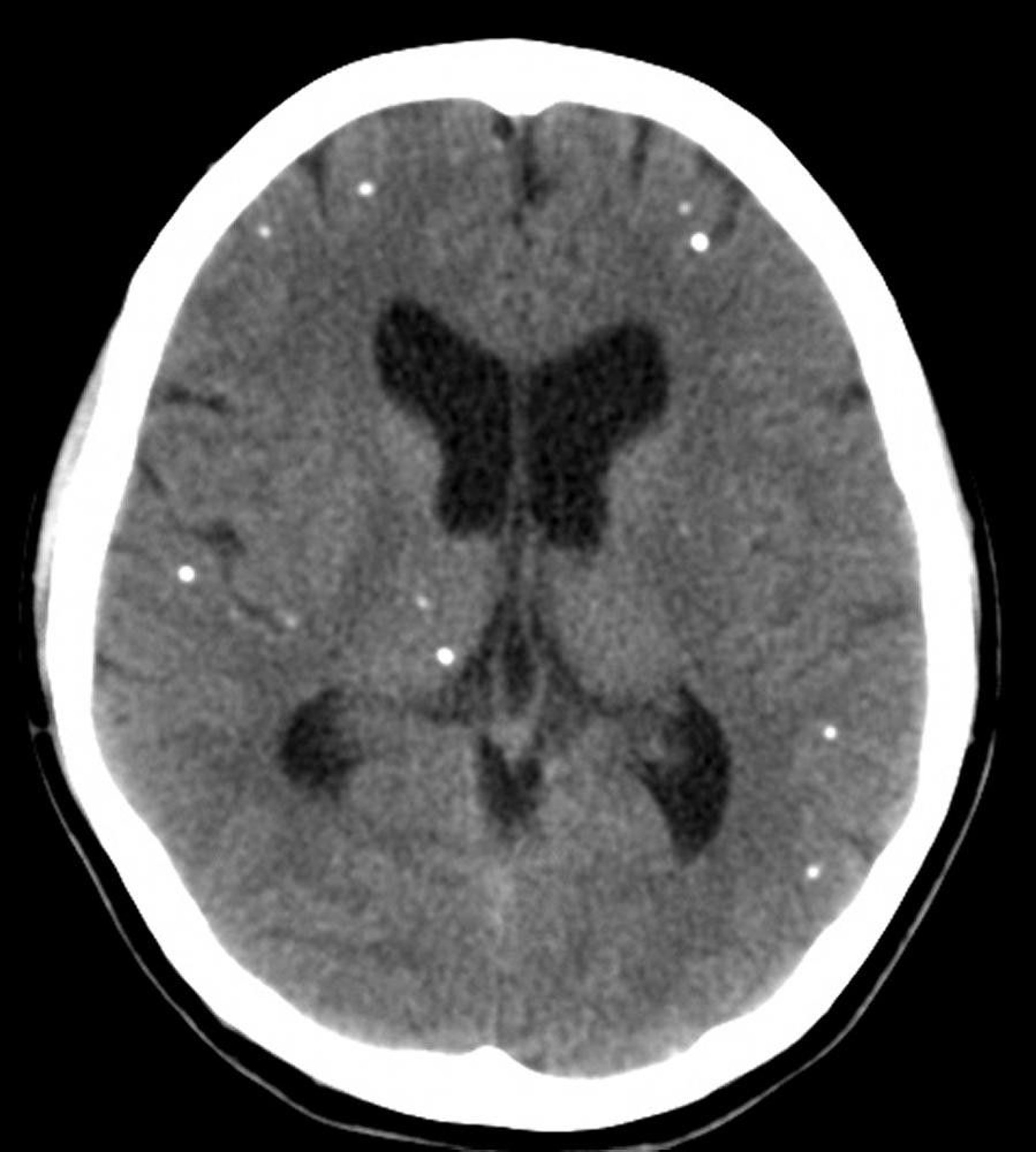
This CT scan shows multifocal areas of calcification representing calcified cysts in a patient with neurocysticercosis.
Courtesy of John E. Greenlee, MD.
In these topics
This CT scan shows multifocal areas of calcification representing calcified cysts in a patient with neurocysticercosis.
Courtesy of John E. Greenlee, MD.