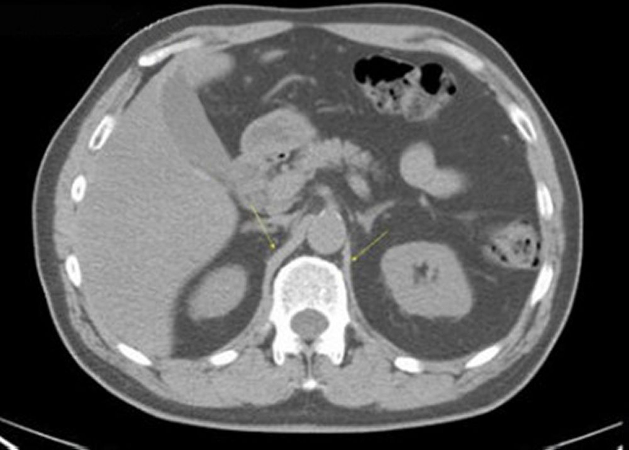
Noncontrast CT Scan of the Abdomen and Pelvis Showing Normal Anatomy (Slide 10)
This image shows the crura of the diaphragm (arrows).
© Springer Science+Business Media
In these topics
This image shows the crura of the diaphragm (arrows).
© Springer Science+Business Media