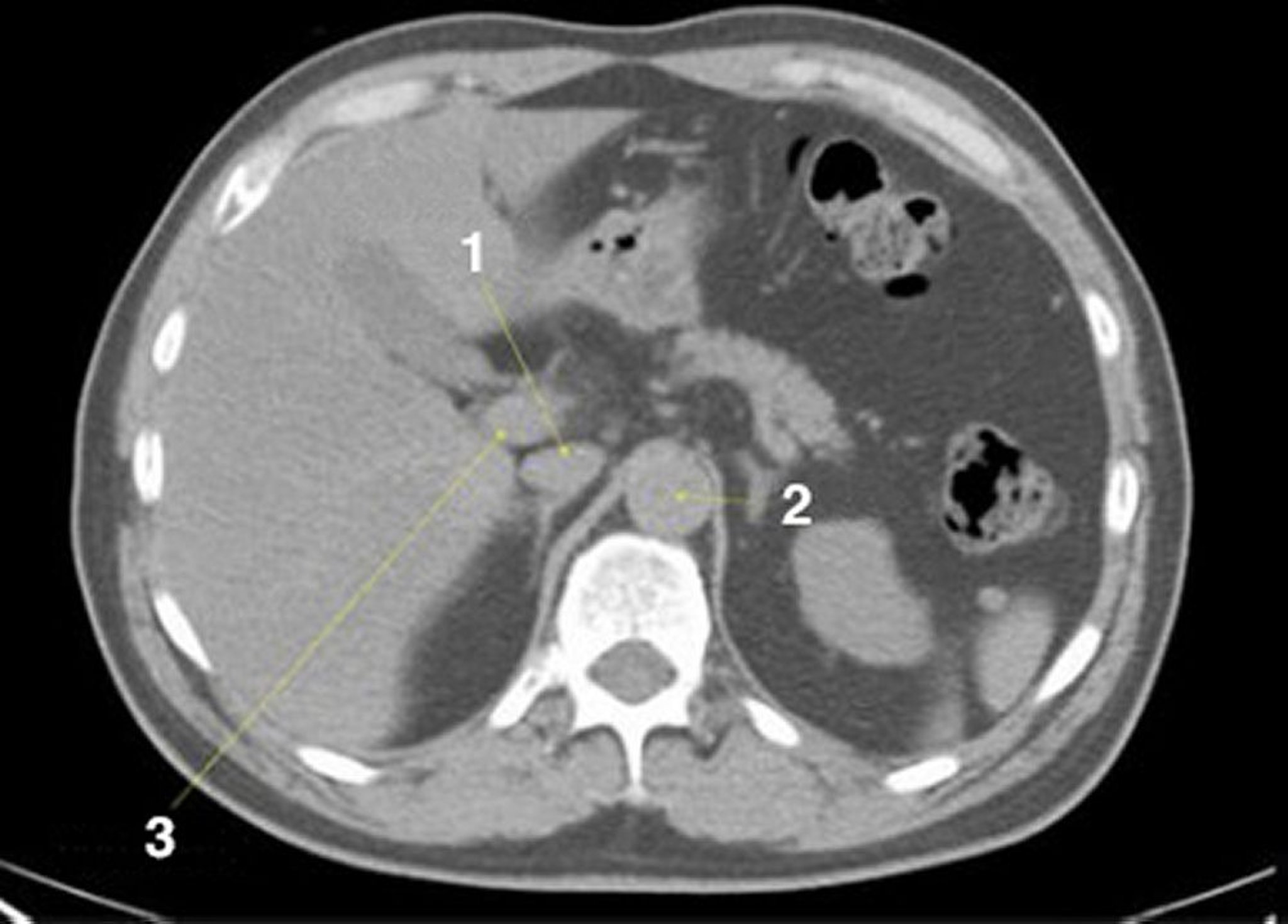
Noncontrast CT Scan of the Abdomen and Pelvis Showing Normal Anatomy (Slide 6)
1 = inferior vena cava; 2 = aorta; 3 = portal vein.
© Springer Science+Business Media
In these topics
1 = inferior vena cava; 2 = aorta; 3 = portal vein.
© Springer Science+Business Media