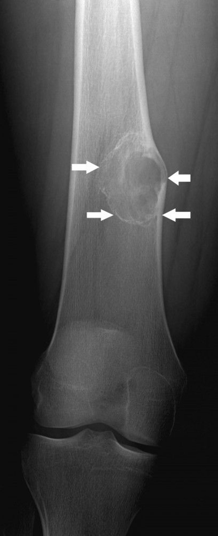
Nonossifying Fibroma
This radiograph shows a bone lesion (arrows) above the knee in the femur with mild expansion, which is typical of nonossifying fibroma.
Image courtesy of Michael J. Joyce, MD, and Hakan Ilaslan, MD.
In these topics
This radiograph shows a bone lesion (arrows) above the knee in the femur with mild expansion, which is typical of nonossifying fibroma.
Image courtesy of Michael J. Joyce, MD, and Hakan Ilaslan, MD.