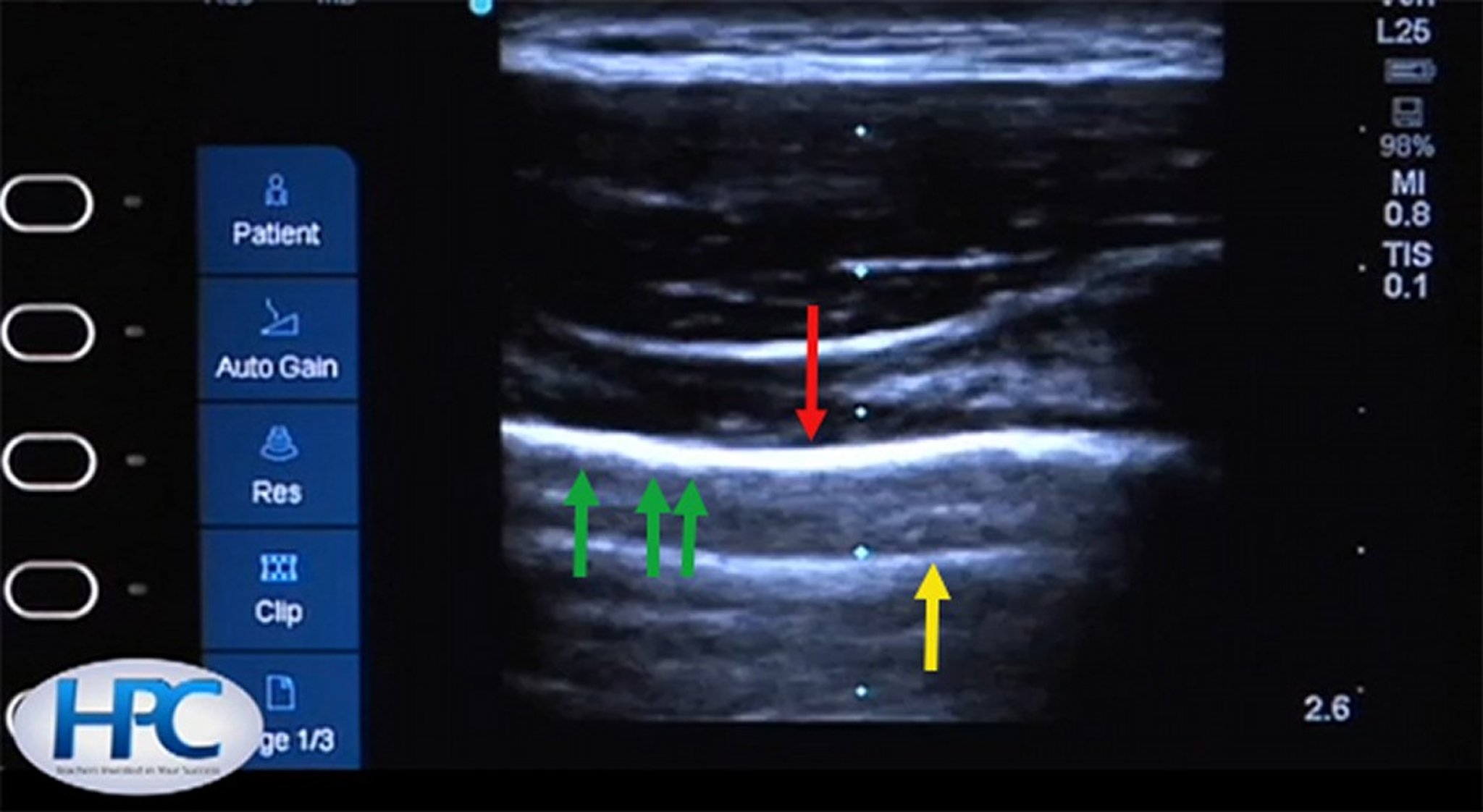
Normal Pleural Line
The pleural line is hyperechoic (red arrow). During respirations, rib sliding will cause the pleural line to shimmer and create an appearance of walking “ants on a log” when visualized in a real-time video (green arrows). A-lines (yellow arrow) appear because of artifactual reflection of the ultrasound waves.
Copyright Hospital Procedures Consultants at www.hospitalprocedures.org.
In these topics
