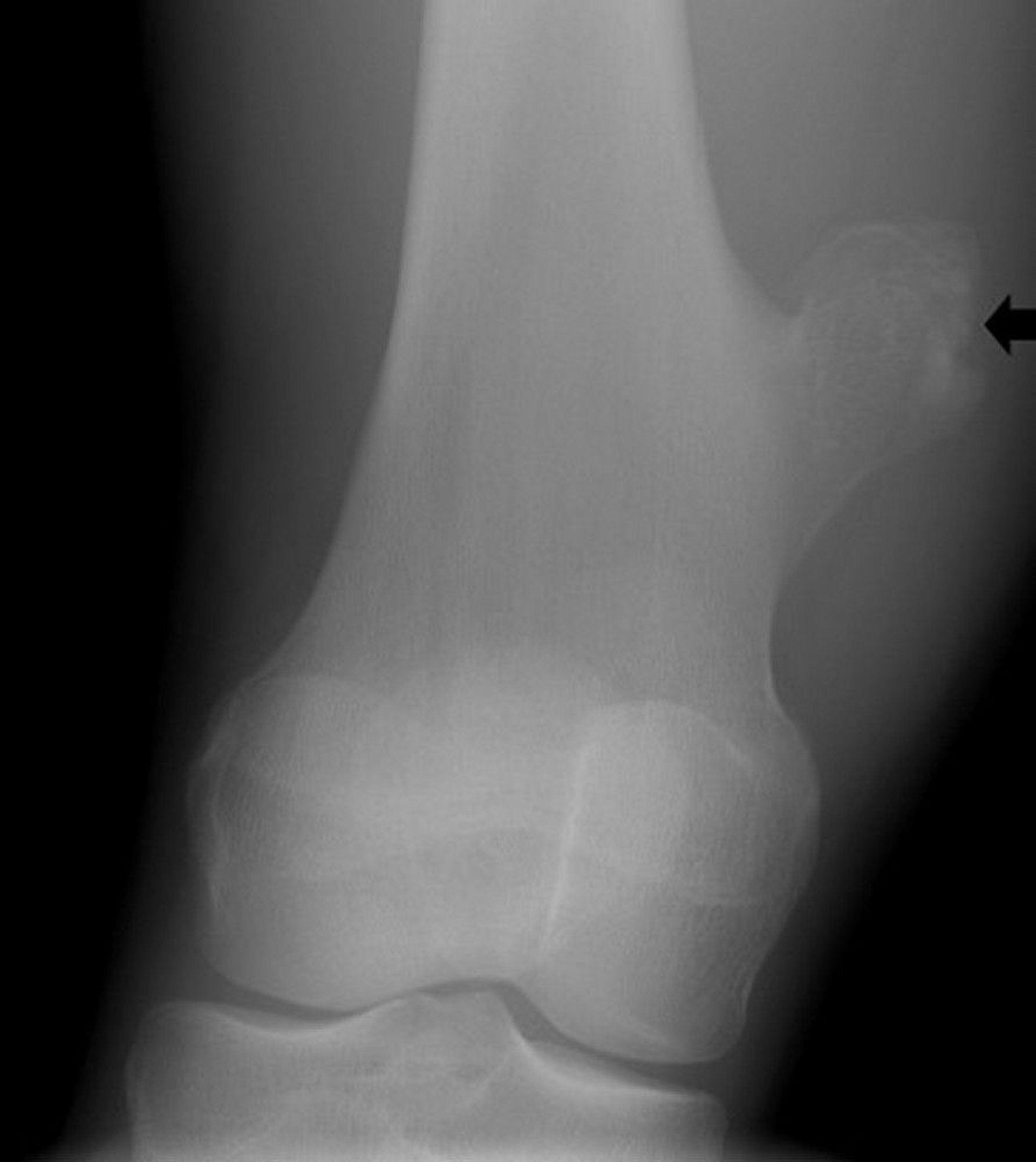
Osteochondroma of the Knee
This radiograph of the knee shows a bony outgrowth (arrow) from the femur above the knee joint that is consistent with an osteochondroma.
Image courtesy of Michael J. Joyce, MD, and Hakan Ilaslan, MD.
In these topics
This radiograph of the knee shows a bony outgrowth (arrow) from the femur above the knee joint that is consistent with an osteochondroma.
Image courtesy of Michael J. Joyce, MD, and Hakan Ilaslan, MD.