Pelvic Abscess (CT Scan)
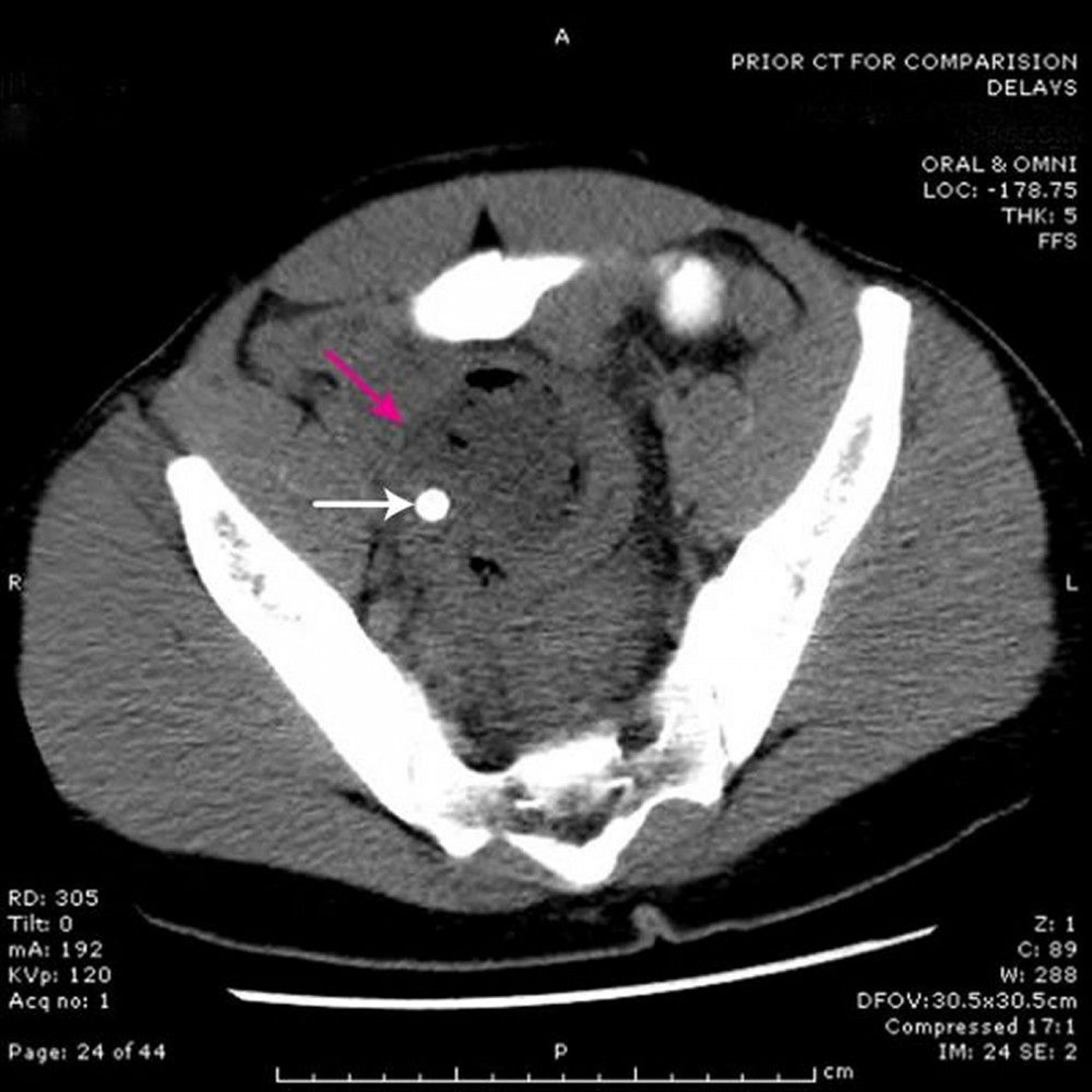
This CT scan shows an abscess (red arrow) in the pelvis caused by appendicitis. Note the radio-opaque fecalith (white arrow).
Image provided by Parswa Ansari, MD.
In these topics
This CT scan shows an abscess (red arrow) in the pelvis caused by appendicitis. Note the radio-opaque fecalith (white arrow).
Image provided by Parswa Ansari, MD.