Pleural Effusion—Large
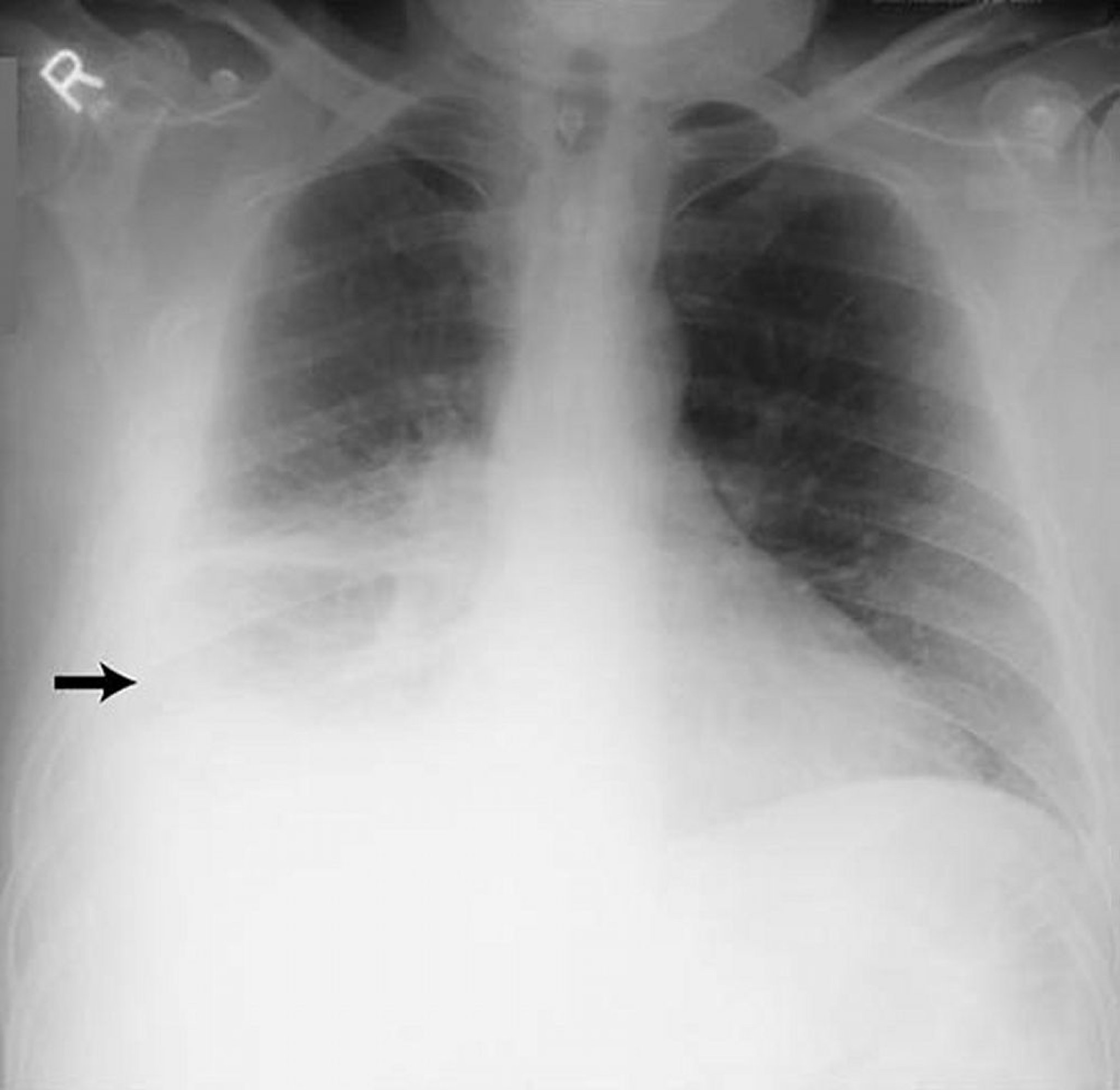
This image shows large right-sided pleural effusion (arrow) in a patient with rheumatoid pleuritis.
By permission of the publisher. From Huggins J, Sahn S. In Bone's Atlas of Pulmonary and Critical Care Medicine. Edited by J Crapo. Philadelphia, Current Medicine, 2005.
In these topics
