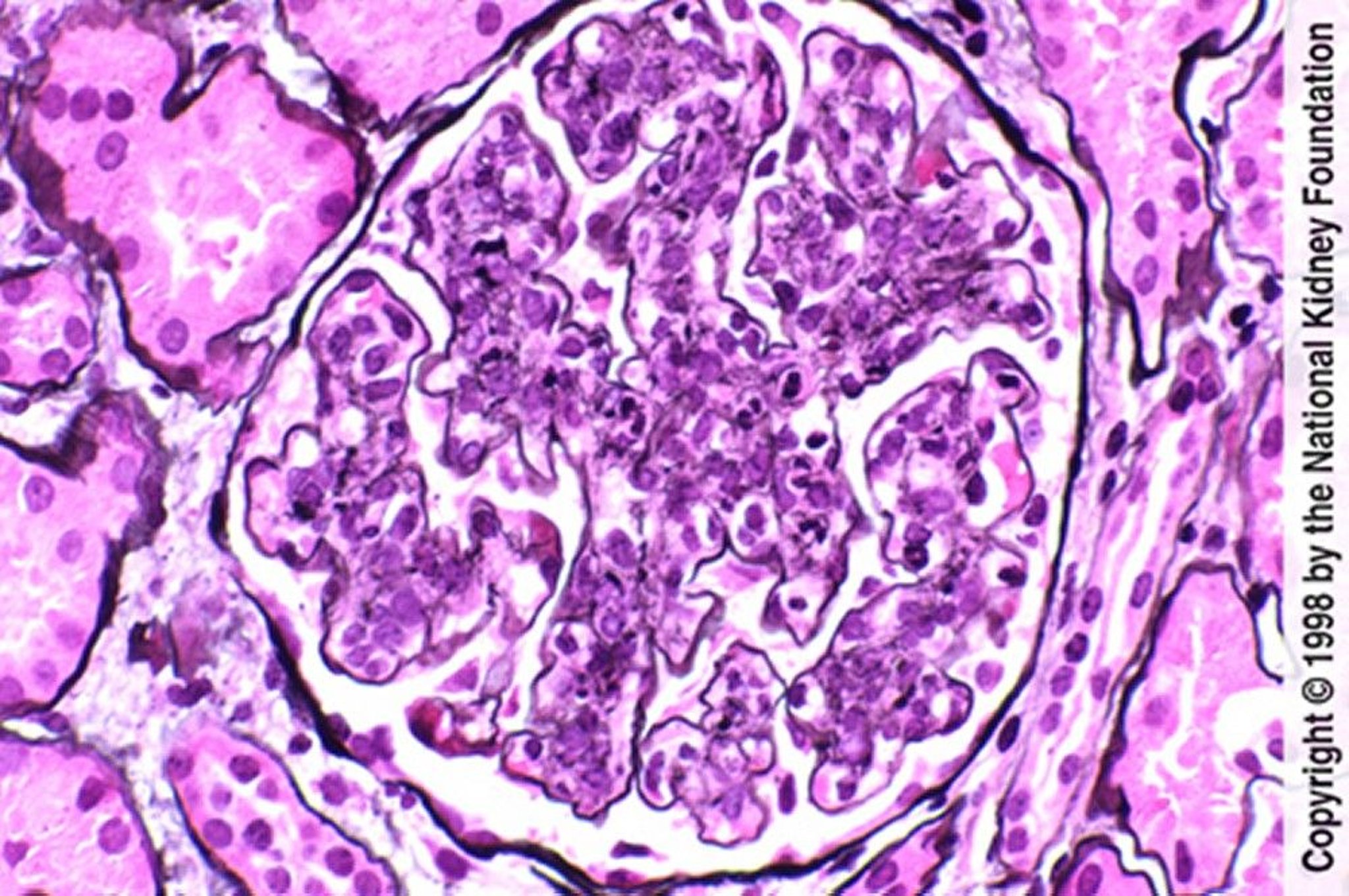
Postinfectious Glomerulonephritis (Hypercellularity With Neutrophilic Infiltration)
Endothelial and mesangial hypercellularity with neutrophilic infiltration (Jones silver stain, ×400).
Image provided by Agnes Fogo, MD, and the American Journal of Kidney Diseases' Atlas of Renal Pathology (see www.ajkd.org).
In these topics
