Proximal Humerus Fracture
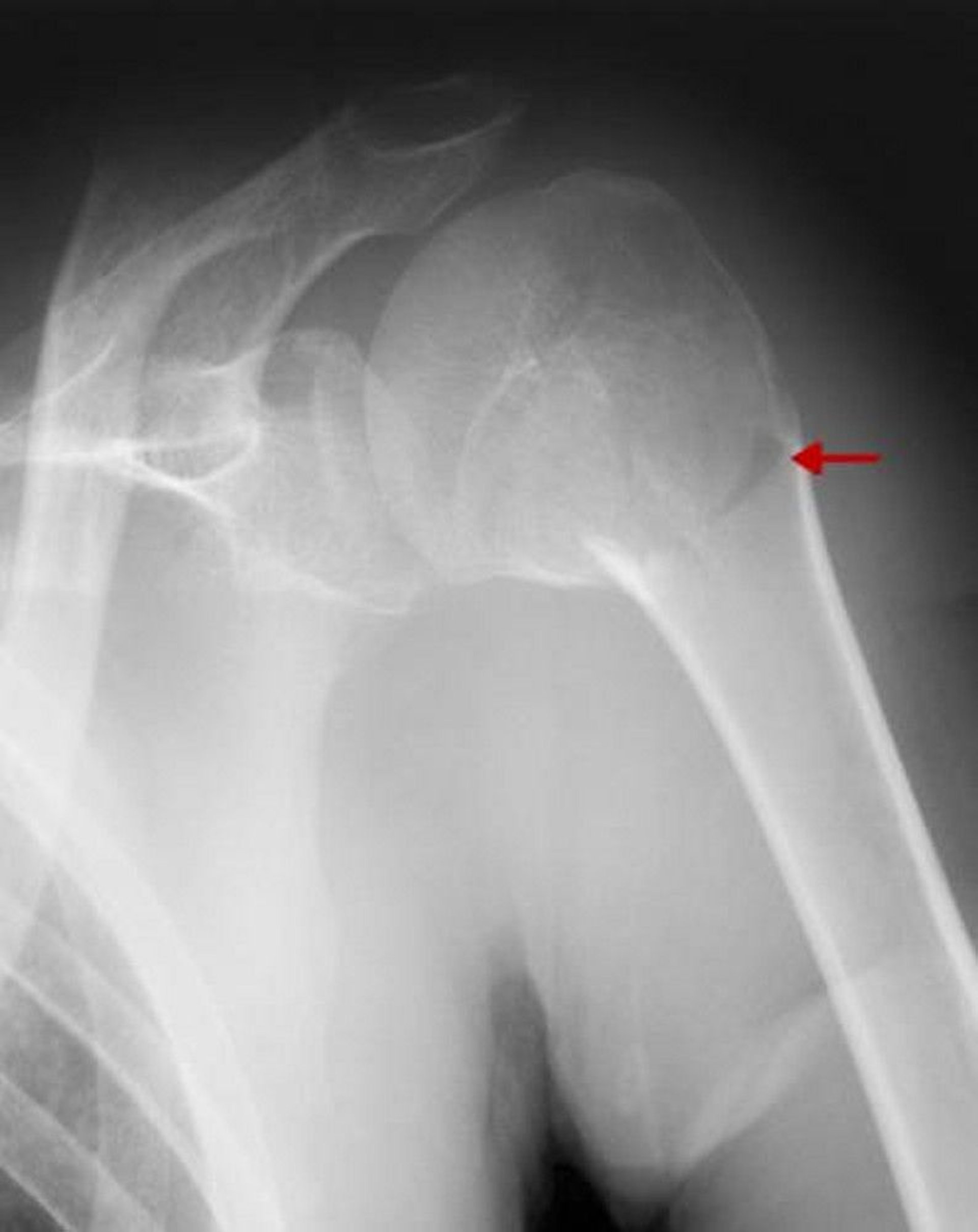
This fracture involves the surgical neck. Because there is no significant displacement or angulation >45°, it is a one-part fracture.
ZEPHYR/SCIENCE PHOTO LIBRARY
In these topics
This fracture involves the surgical neck. Because there is no significant displacement or angulation >45°, it is a one-part fracture.
ZEPHYR/SCIENCE PHOTO LIBRARY