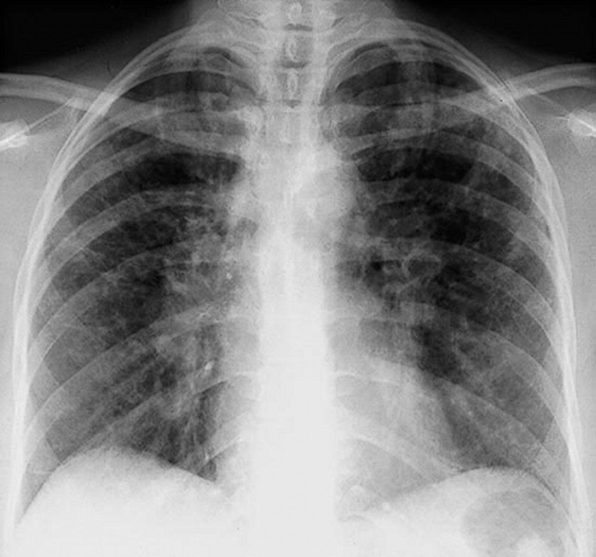
Sarcoidosis (Stage II)
Bilateral hilar adenopathy with interstitial opacities in stage II sarcoidosis.
By permission of the publisher. From Tanoue L, Elias J. In Bone's Atlas of Pulmonary and Critical Care Medicine. Edited by J Crapo. Philadelphia, Current Medicine, 2005.
In these topics
