honeypot link
skip to main content
Professional
Consumer
Merck Manual
Professional Version
MEDICAL TOPICS
RESOURCES
DRUG INFO
COMMENTARY
PROCEDURES
QUIZZES
ABOUT US
MEDICAL TOPICS
RESOURCES
<
Images
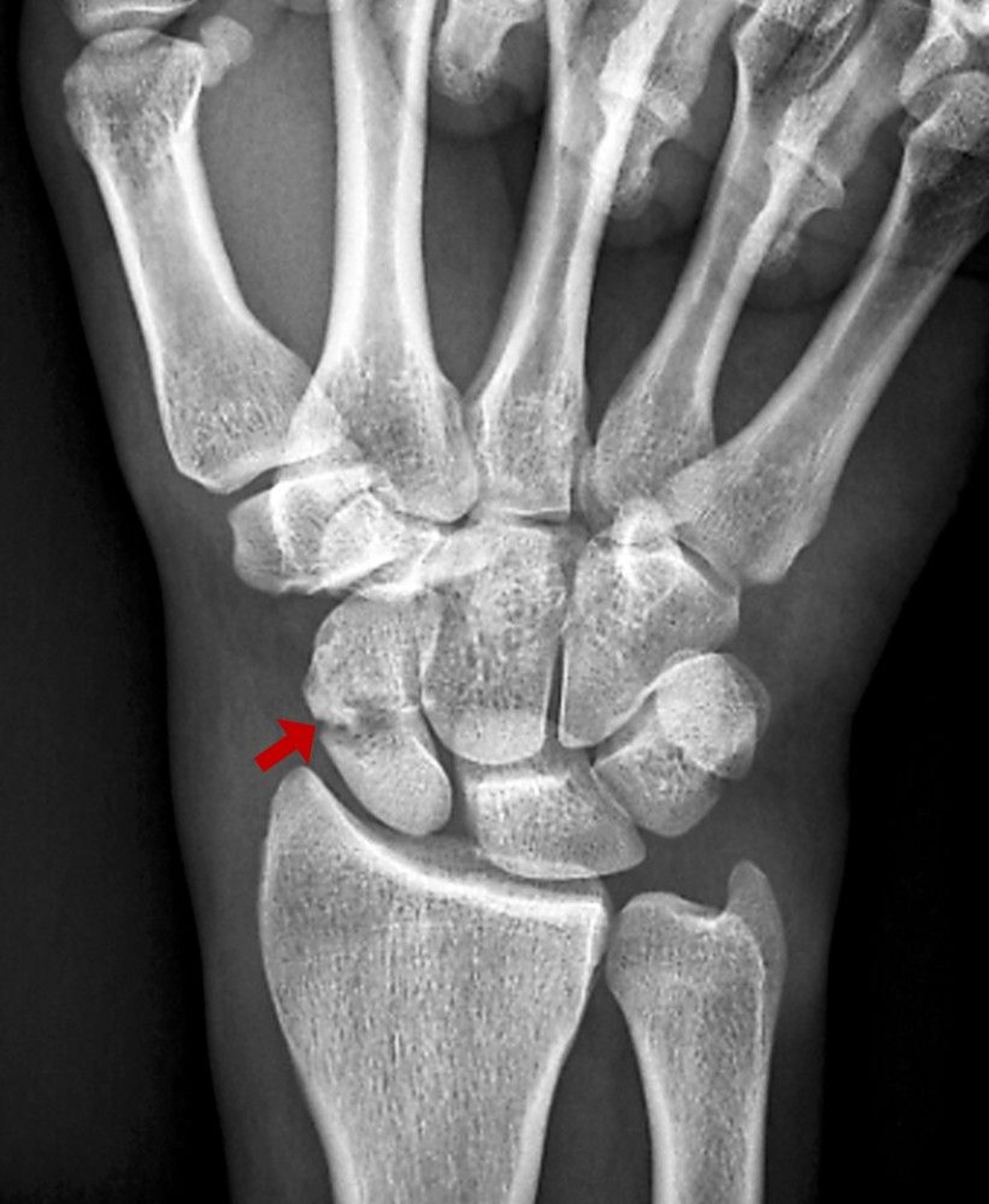
Scaphoid Fracture
This scaphoid fracture is visible as a lucency on radiograph.
ZEPHYR/SCIENCE PHOTO LIBRARY
In these topics
Scaphoid (Navicular) Fractures
>