Torus Wrist Fracture
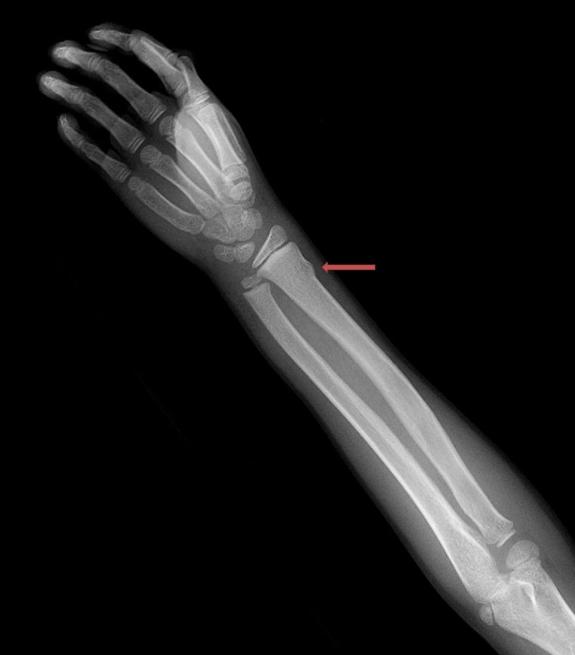
This torus fracture of the distal radius is visible only as a slight irregularity of the bone cortex.
LIVING ART ENTERPRISES, LLC/SCIENCE PHOTO LIBRARY
In these topics
This torus fracture of the distal radius is visible only as a slight irregularity of the bone cortex.
LIVING ART ENTERPRISES, LLC/SCIENCE PHOTO LIBRARY