Maisonneuve Fracture (1)
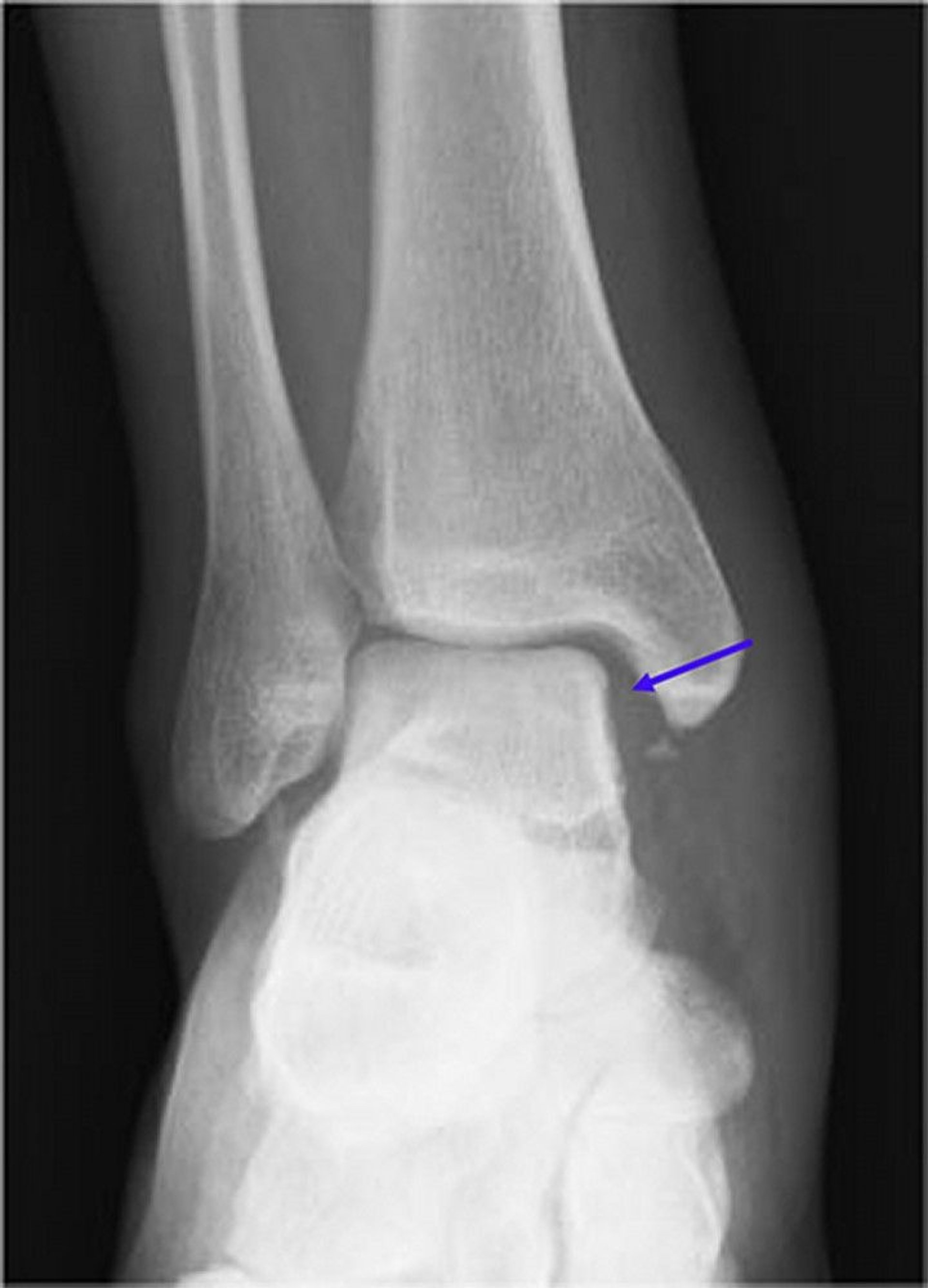
This radiograph shows a disruption (widening) of the medial mortise joint (blue arrow). Normally, the space of the mortise joint should be symmetric around the talus. With a concomitant proximal fibular fracture, this is known as a Maisonneuve fracture.
Image courtesy of Danielle Campagne, MD.
In these topics
