Radiograph of a Child With Croup (Coronal View)
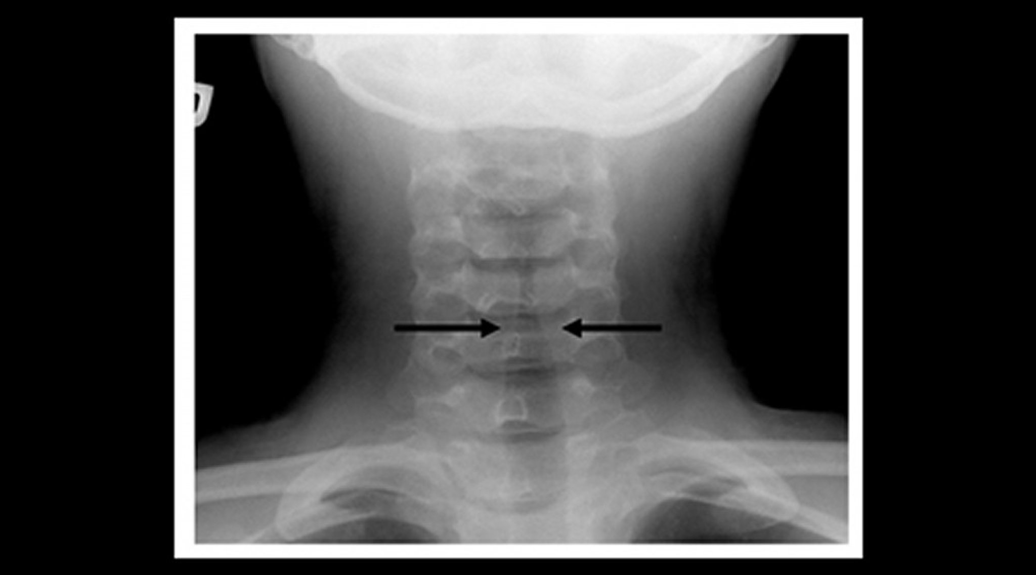
Soft-tissue neck radiograph of a child with croup shows gradual narrowing of the subglottic tracheal lumen and its air shadow (steeple sign—arrows) and dilation of the pharyngeal air spaces.
Image courtesy of John McBride, MD.
In these topics
