Manchas de Koplik en el sarampión (2)
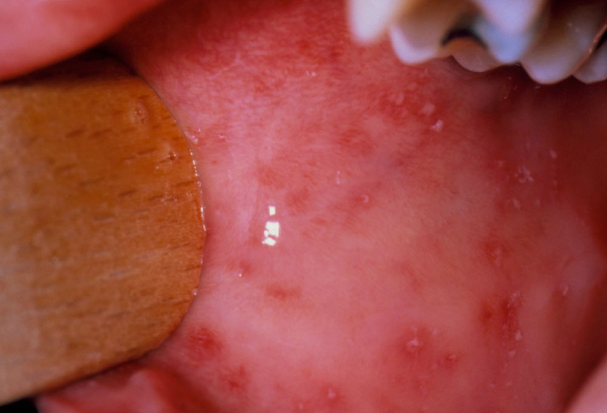
Las manchas de Koplik son manchas rojas brillantes con centros blancos o azulados que se asemejan a los granos de arena. Pueden aparecer en cualquier parte de la boca en personas con sarampión.
DR P. MARAZZI/SCIENCE PHOTO LIBRARY
En estos temas
