La lesión del globo ocular puede ocurrir por un traumatismo contuso o penetrante en el ojo.
Un traumatismo en el globo ocular puede causar lo siguiente:
Rotura del globo (laceración)
Neuropatía óptica traumática
(Véase también Generalidades sobre los traumatismos oculares.)
Las siguientes lesiones, que se tratan en otra parte del Manual, pueden tener una variedad de causas, incluyendo una lesión traumática precipitante:
Otras lesiones frecuentes del globo ocular incluyen hemorragias conjuntivales, subconjuntivales y esclerales, que en general no requieren tratamiento; hemorragia retiniana, edema retiniano o desprendimiento de retina; hemorragia vítrea; laceración del iris y un cristalino luxado, todo lo cual requiere evaluación urgente por un oftalmólogo.
La evaluación puede ser difícil cuando existen edema masivo del párpado, equimosis o laceraciones. A pesar de ello, a menos que la necesidad de cirugía ocular inmediata sea obvia (para lo cual se requiere la evaluación de un oftalmólogo tan pronto como sea posible), se abre el párpado, teniendo cuidado de no ejercer presión sobre el globo, y se realiza un examen tan completo como sea posible. Como mínimo, debe registrarse lo siguiente:
Forma de la pupila y respuestas pupilares
Movimientos extraoculares
La profundidad o hemorragia de la cámara anterior
Presencia del reflejo rojo
Presión intraocular
Se puede administrar un analgésico o un ansiolítico para facilitar el examen. La utilización suave y cuidadosa de separadores palpebrales o de un espéculo palpebral facilita la apertura de los párpados si el paciente necesita ayuda. Si no se encuentra disponible un instrumento comercial, los párpados pueden separarse con separadores improvisados modelados abriendo un clip hasta lograr una forma de S, luego doblando los extremos con forma de U hasta los 180°. Los instrumentos no deben ejercer presión sobre el globo ocular. La laceración del globo ocular debe sospecharse ante:
Una laceración visible corneana o de la esclerótica.
Pérdida del humor acuoso (signo de Seidel positivo).
La cámara anterior es muy poco profunda (p. ej., haciendo que la córnea parezca tener pliegues) o muy profunda (debido a la rotura posterior de la lente).
La pupila es irregular o deforme (posiblemente indica una perforación del globo ocular o una hernia del iris).
El reflejo rojo está ausente (lo que puede indicar una hemorragia vítrea o una lesión retiniana).
Si se sospecha laceración del globo ocular, las medidas que deben tomarse antes de poder consultar a un oftalmólogo consisten en aplicar un protector ocular y administrar antibióticos por vía intravenosa (p. ej., ceftazidima y vancomicina) (1). Debe realizarse una tomografía computarizada para buscar un cuerpo extraño y otras lesiones, como fracturas; la RM se evita debido a la posibilidad de presencia de un cuerpo extraño metálico oculto. Se deben evitar los antibióticos tópicos. Vomitar puede aumentar la presión intraocular (PIO) y contribuir con la extravasación de los contenidos oculares, y este reflejo se suprime usando antieméticos en la medida de lo necesario. Como la contaminación micótica de las heridas abiertas es peligrosa, los corticosteroides están contraindicados hasta su cierre quirúrgico. Está indicada la profilaxis contra el tétanos para las lesiones expuestas del globo ocular. La reparación quirúrgica suele requerir la exploración del globo ocular, la extracción de cuerpos extraños, el cierre en capas de la esclerótica y la córnea y la inyección de antibióticos o agentes antimicóticos intravítreo bajo anestesia general. Después de la operación, el ojo está protegido. Se aplican midriáticos y antibióticos/antimicóticos tópicos según la etiología específica de la lesión inicial y los hallazgos intraoperatorios. Se controla la presión intraocular y se trata cualquier aumento con medicamentos tópicos. El paciente es seguido de cerca durante varios días debido al riesgo de endoftalmitis postraumática. Muy rara vez, después de la laceración del globo el ojo contralateral no lesionado comienza a inflamarse (oftalmía simpática) y puede perder la visión al punto de la ceguera a menos que se trate. El mecanismo es una reacción autoinmunitaria, y el curso temporal es variable (2).
Cuerpos extraños intraoculares
El traumatismo penetrante en el ojo también puede provocar la retención de un cuerpo extraño intraocular (p. ej., rotura de un lápiz, fragmento de metal de una herramienta rotatoria). Los cuerpos extraños intraoculares requieren la extracción quirúrgica inmediata por un oftalmólogo. Los antimicrobianos intravítreos, sistémicos y tópicos están indicados por su eficacia contra Bacillus cereus, que puede estar presente en cualquier lesión contaminada con el suelo o la vegetación; estos antimicrobianos incluyen ceftazidima intravítrea en combinación con vancomicina seguida de dosis intravenosas y vancomicina tópica y ceftazidima o una fluoroquinolona como la moxifloxacina (1, 3). La pomada debe evitarse si el globo ocular está lacerado.
Se coloca un escudo protector (p. ej., protector ocular de plástico o de aluminio o el tercio inferior de un vaso de papel) y se pega con cinta adhesiva sobre el ojo para evitar una presión inadvertida que podría extruir los contenidos oculares a través del sitio de penetración. Los parches deben evitarse porque también pueden comprimir inadvertidamente el globo ocular. En las lesiones abiertas del globo ocular está indicada la profilaxis contra el tétano.
Como con cualquier laceración del globo, los vómitos (p. ej., por dolor) pueden aumentar la presión intraocular, por lo que deben evitarse. Si se producen náuseas, se deben recetar antieméticos.
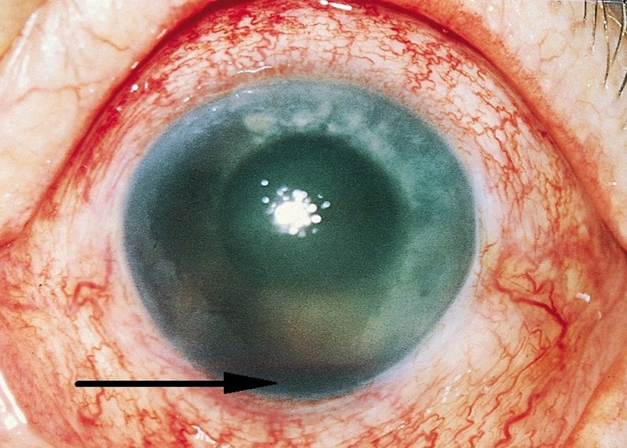
Hipema (hemorragia en la cámara anterior)
El hifema suele ser el resultado de una lesión en el segmento anterior del ojo, específicamente el iris y su inserción en la esclerótica, lo que provoca hemorragia en la cámara anterior. Tras un hifema puede ocurrir sangrado recurrente, anomalías de la presión intraocular (PIO) y/o tinción de la córnea con sangre, cualquiera de los cuales puede provocar una pérdida permanente de la visión. Los síntomas son los asociados con las lesiones, a menos que el hipema sea suficientemente grande para obstruir la visión. La inspección directa revela, por lo general, la presencia de células sanguíneas en la cámara anterior, con o sin capas de sangre, y/o la presencia de un coágulo en la cámara anterior. Las capas son visibles como un nivel de sangre con menisco en la parte declive (en general inferior) de la cámara anterior. El microhifema, una forma menos grave de hifema, solo puede detectarse tras la inspección directa de la cámara anterior mediante examen con lámpara de hendidura, que permite la visualización de los eritrocitos en suspensión.
Un oftalmólogo debe atender al paciente lo más pronto posible. El paciente se coloca en reposo en la cama con la cabeza elevada 30 a 45º y se coloca un protector ocular para proteger el ojo de un traumatismo adicional (véase Abrasiones y cuerpos extraños corneales). Los pacientes con un riesgo elevado de hemorragia recurrente (es decir, los que tienen hifemas grandes, diátesis hemorrágicas o anemia de células falciformes, así como aquellos que toman anticoagulantes), los que tienen una presión intraocular (PIO) difícil de controlar o que es probable que no cumplan con el tratamiento recomendado, pueden ser hospitalizados. Debe considerarse la realización de pruebas para detectar anomalías hemorrágicas si no se conoce la causa del hifema. Está contraindicado utilizar medicamentos antiinflamatorios no esteroideos orales y tópicos porque contribuyen con la hemorragia recurrente. Los antifibrinolíticos, como el ácido tranexámico, no se usan de rutina, pero pueden ser útiles en pacientes con alto riesgo de resangrado u otras complicaciones (4).
El tratamiento del hifema se centra principalmente en la terapéutica de la presión intraocular. La presión intraocular puede aumentar de manera aguda (en horas, habitualmente en pacientes que tienen drepanocitosis o rasgo falciforme) o meses o años más tarde. Por lo tanto, debe monitorizarse la PIO diariamente durante varios días y después periódicamente en las semanas y meses posteriores, y también si aparecen síntomas (p. ej., dolor en el ojo, disminución de la visión, náuseas, similares a los síntomas de un glaucoma agudo de ángulo cerrado). Si aumenta la presión, se administra timolol al 0,5% 2 veces al día, brimonidina al 0,2 o al 0,15% 2 veces al día, o ambos. La respuesta al tratamiento se determina por la presión, que se comprobará cada hora o 2 horas hasta que se controle o hasta que se demuestre una velocidad de reducción significativa; después, suele corroborarse 1 o 2 veces al día. Con frecuencia se administran gotas midriáticas (p. ej., escopolamina 0,25% 3 veces al día o atropina al 1% 3 veces al día durante 5 días) y corticosteroides tópicos (p. ej., acetato de prednisolona al 1%, 4 a 8 veces al día durante 2 a 3 semanas) para reducir la inflamación y la cicatrización. Sin embargo, las pruebas que respaldan el uso de midriáticos y corticoesteroides para el hifema no son concluyentes (5).
Se informa que la nueva hemorragia por retracción del coágulo se produce hasta en el 38% de los pacientes (4). Para el tratamiento debe consultarse a un oftalmólogo, ya que la hemorragia puede ser más grave que el sangrado inicial. Puede considerarse la administración de antifibrinolíticos, y los medicamentos mióticos o midriáticos son opciones aceptables. Ante una nueva hemorragia también debe controlarse la presión intraocular. Rara vez, se produce una hemorragia recurrente con glaucoma secundario que requiere la evacuación quirúrgica de la sangre.
Este paciente tiene un hifema traumático (flecha) y una inyección conjuntival secundario a una lesión traumática en el ojo.
© Springer Science+Business Media
Fractura en estallido
La fractura en estallido se produce cuando un traumatismo romo obliga al contenido orbitario a salir a través de una de las porciones más frágiles de la pared orbitaria, habitualmente, el suelo (6). También pueden producirse fracturas en la zona medial, lateral y en el techo. Los pacientes pueden tener dolor facial u orbitario, diplopía, enoftalmos, hipoestesias en la mejilla y el labio superior (debido lesión del nervio infraorbitario), epistaxis y/o enfisema subcutáneo. También se deben descartar otras fracturas o lesiones faciales. En todos los casos de fractura orbitaria, debe considerarse la presencia de lesiones del globo ocular, el nervio óptico y el encéfalo, y hacer las evaluaciones que estén indicadas.
La mejor manera de establecer el diagnóstico es mediante la TC con cortes delgados a través de los huesos faciales. Si la motilidad ocular está alterada (p. ej., que causa diplopía), los músculos extraoculares deben evaluarse para detectar signos de atrapamiento.
Si hay diplopía o enoftalmos clínicamente significativo, puede estar indicada la reparación quirúrgica. Sin embargo, muchos, si no la mayoría de los pacientes con fracturas del piso orbitario, pueden ser controlados de manera conservadora, sin cirugía. Se debe advertir a los pacientes que eviten sonarse la nariz para evitar un síndrome compartimental orbitario por el reflujo de aire (7). El uso de un vasoconstrictor tópico intranasal durante 2 a 3 días puede aliviar la epistaxis. Se pueden usar antibióticos orales si los pacientes tienen sinusitis.
Síndrome compartimental orbitario
El síndrome compartimental orbitario es una emergencia oftálmica. El síndrome compartimental orbitario se produce cuando la presión orbitaria aumenta súbitamente, en general debido a un traumatismo que causa hemorragia orbitaria. Cualquier factor que aumente el volumen orbitario (aire, sangre o pus en la órbita) puede provocar un síndrome compartimental orbitario. Los síntomas pueden incluir pérdida súbita de la visión, así como diplopía, dolor ocular e hinchazón del párpado (8).
Los hallazgos del examen físico pueden incluir disminución de la visión, quemosis, equimosis, motilidad ocular limitada y/o dolorosa, defecto pupilar aferente, proptosis, oftalmoplejía y presión intraocular (PIO) elevada. El diagnóstico es clínico y el tratamiento no debe retrasarse en espera de los estudios de diagnóstico por imágenes (9).
El tratamiento es la cantotomía lateral y la cantólisis inmediata (exposición quirúrgica del tendón cantal lateral con incisión de su rama inferior) seguido de:
Monitorización con posible hospitalización y elevación de la cabecera de la cama a 45°
Tratamiento de la presión intraocular elevada; en la fase aguda, el manitol intravenoso puede administrarse como una medida transitoria de corto plazo (siempre que no existan contraindicaciones sistémicas o neuroquirúrgicas) (10)
Reversión de cualquier coagulopatía
Prevención del aumento adicional de la presión intraorbitaria (prevención o reducción del dolor, las náuseas, la tos, los esfuerzos y la hipertensión grave)
Aplicación de hielo o compresas frías
Consulta con oftalmología para considerar la cirugía y/u otros tratamientos específicos indicados por un especialista; la terapia médica no debe retrasar la consulta y la consideración quirúrgica
Referencias
1. Bhagat N, Nagori S, Zarbin M. Post-traumatic infectious endophthalmitis. Surv Ophthalmol 6(3):214-251, 2011. doi: 10.1016/j.survophthal.2010.09.002
2. Parchand S, Agrawal D, Ayyadurai N, et al: Sympathetic ophthalmia: A comprehensive update. Indian J Ophthalmol 70(6):1931-1944, 2022. doi: 10.4103/ijo.IJO_2363_21
3. Knox FA, Best RM, Kinsella F, et al: Management of endophthalmitis with retained intraocular foreign body. Eye (Lond) 18(2):179-182, 2004. doi: 10.1038/sj.eye.6700567
4. Deans R, Noël LP, Clarke WN. Oral administration of tranexamic acid in the management of traumatic hyphema in children. Can J Ophthalmol 27(4):181-183, 1992. PMID: 1633590
5. Woreta FA, Lindsley KB, Gharaibeh A, Ng SM, Scherer RW, Goldberg MF. Medical interventions for traumatic hyphema. Cochrane Database Syst Rev 3(3):CD005431, 2023. doi: 10.1002/14651858.CD005431.pub5
6. Iftikhar M, Canner JK, Hall L, Ahmad M, Srikumaran D, Woreta FA. Characteristics of orbital floor fractures in the United States from 2006 to 2017. Ophthalmology 128(3):463-470, 2021. doi: 10.1016/j.ophtha.2020.06.065
7. Kersten RC, Vagefi MR, Bartley GB. Orbital "blowout" fractures: Time for a new paradigm. Ophthalmology 125(6):796-798, 2018. doi: 10.1016/j.ophtha.2018.02.014
8. Papadiochos I, Petsinis V, Sarivalasis S-E: Acute orbital compartment syndrome due to traumatic hemorrhage: 4-year case series and relevant literature review with emphasis on its management. Oral Maxillofac Surg 27(1):101-116, 2023. doi: 10.1007/s10006-021-01036-9
9. Hatton MP, Rubin PA. Management of orbital compartment syndrome. Arch Ophthalmol 125(3):433-434, 2007; author reply 434. doi: 10.1001/archopht.125.3.433-b
10. Johnson D, Winterborn A, Kratky V. Efficacy of intravenous mannitol in the management of orbital compartment syndrome: A nonhuman primate model. Ophthalmic Plast Reconstr Surg 32(3):187-190, 2016. doi: 10.1097/IOP.0000000000000463
Conceptos clave
Hipema, el mejor diagnostico es por examen lámpara de hendidura, requiere reposo en cama con elevación de la cabeza a los 30 a 45° y un control estricto de la presión intraocular.
Derivar a los pacientes para la reparación quirúrgica de las fracturas por estallido que causan diplopía o enoftalmos inaceptables.
Realice de inmediato una cantotomía lateral y una cantólisis inferior en pacientes con síndrome compartimental orbitario y obtenga una consulta oftalmológica inmediata.
El traumatismo del globo ocular puede lacerarlo y ocasionar cataratas, luxación del cristalino, glaucoma, hemorragia vítrea, o daño retiniano (hemorragias, desprendimiento o edema).
Tratar los cuerpos extraños mediante la eliminación del material extraño, prescribir un antibiótico tópico, ya veces instilar un ciclopléjico.
Se sospecha de un cuerpo extraño intraocular si la fluoresceína se sale del defecto de la córnea, si la pupila es irregular, o si el mecanismo de lesión involucra una máquina de alta velocidad (p. ej., taladro o sierra, cualquier cosa con un mecanismo de metal sobre metal), al martillar o por explosión.
Nunca colocar un parche en un ojo con sospecha de lesión penetrante. Siempre use sólo un protector para los ojos.
Para cuerpos extraños intraoculares, dar antibióticos sistémicos y tópicos, aplicar un escudo, controlar el dolor y las náuseas y consultar a un oftalmólogo para la extirpación quirúrgica.



