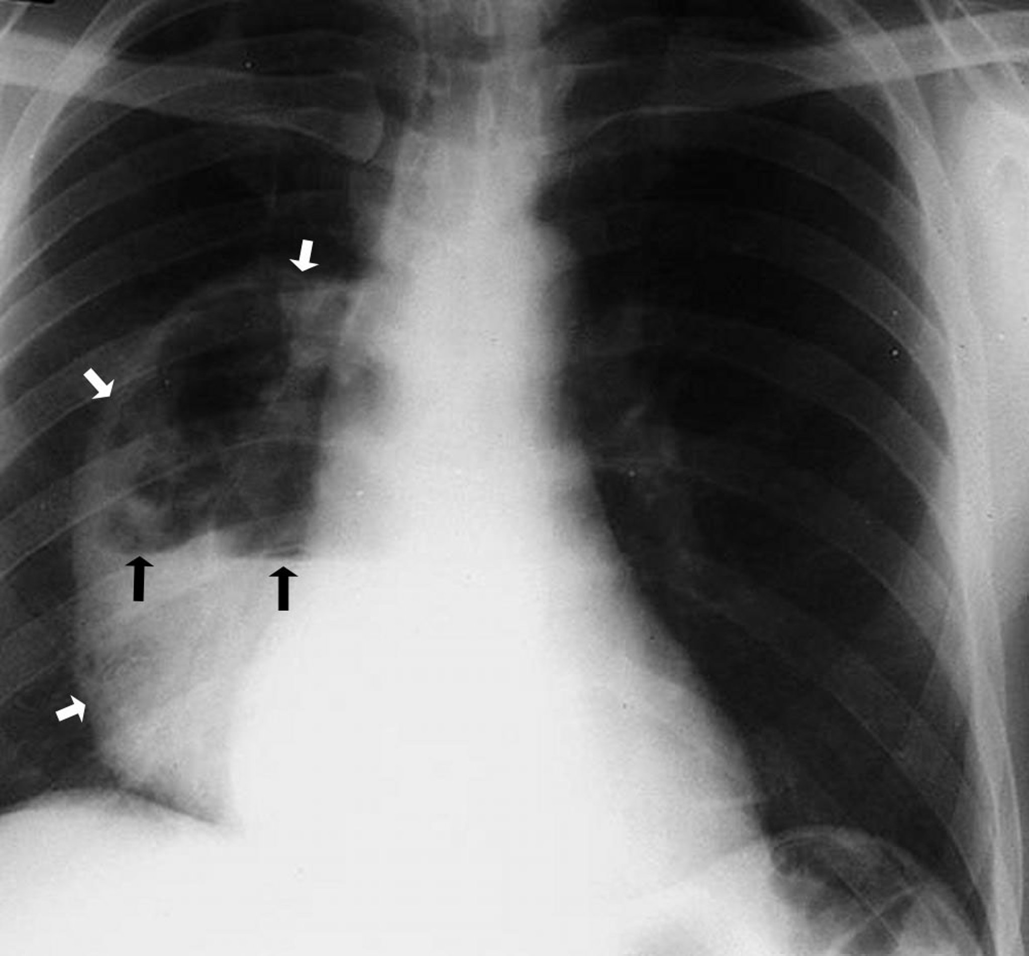
Absceso pulmonar (radiografía)
Esta foto muestra un absceso de gran tamaño en el lóbulo inferior derecho con una cavidad que contiene un nivel hidroaéreo. Las flechas blancas señalan el límite del absceso mostrando las paredes separadas del parénquima pulmonar. Las flechas negras señalan el nivel donde se encuentran el aire arriba y el líquido abajo.
By permission of the publisher. De Leaf H. In Atlas of Infectious Diseases: Pleuropulmonary and Bronchial Infections. Publicado por GL Mandell (series editor) y MS Simberkoff. Philadelphia, Current Medicine, 1996.
En estos temas
