Angiografía pulmonar por TC de reconstrucción coronal
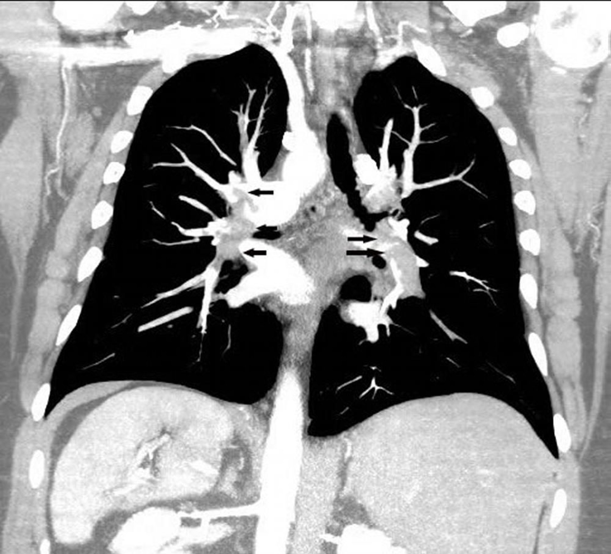
La angiotomografía pulmonar con reconstrucción coronal muestra una embolia pulmonar extensa en ambas arterias pulmonares (flechas).
Image courtesy of Hakan Ilaslan, MD.
En estos temas
La angiotomografía pulmonar con reconstrucción coronal muestra una embolia pulmonar extensa en ambas arterias pulmonares (flechas).
Image courtesy of Hakan Ilaslan, MD.