Fractura de Galeazzi
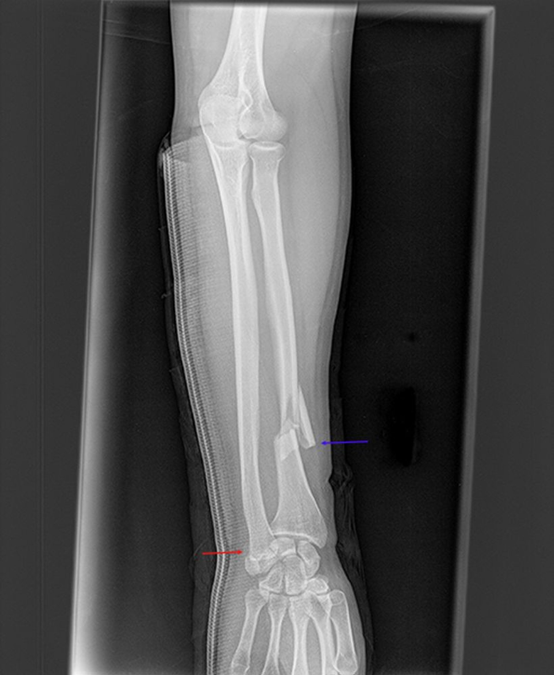
Esta radiografía muestra una fractura del radio distal (flecha azul) y una rotura de la articulación radiocubital distal (flecha roja). Las superficies articulares del cúbito distal y el radio distal no están alineadas entre sí.
Image courtesy of Danielle Campagne, MD.
En estos temas
