Linfangioleiomiomatosis
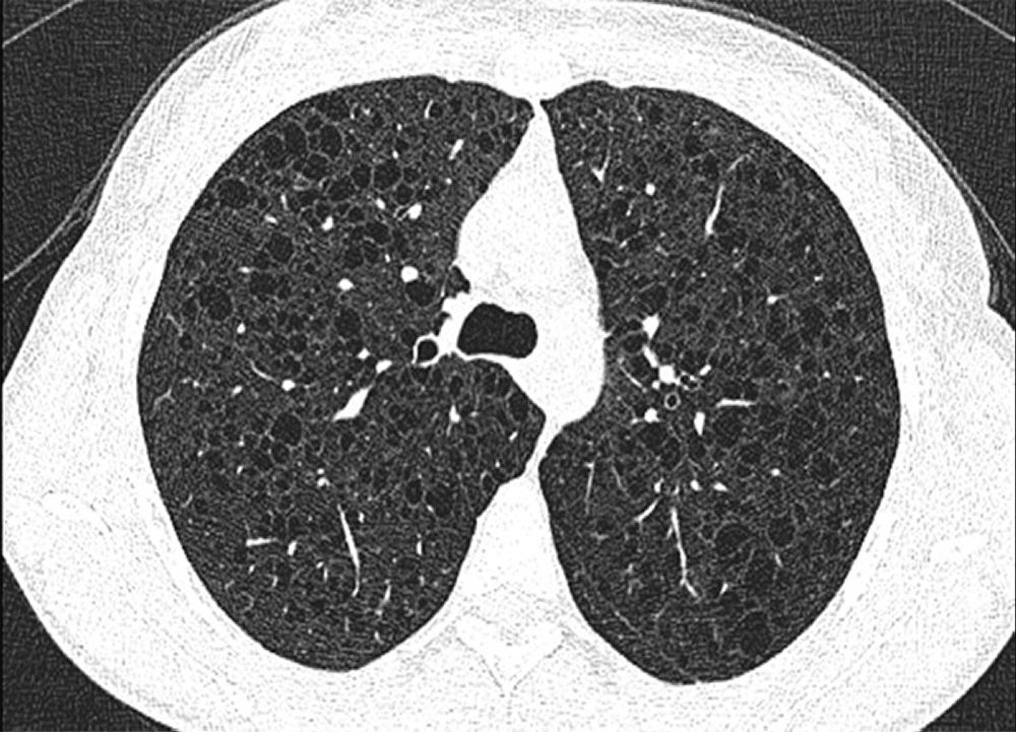
Esta imagen muestra quistes difusos en ambos pulmones en un paciente con linfangioleiomiomatosis.
Image courtesy of Joyce Lee, MD, MAS.
En estos temas
Esta imagen muestra quistes difusos en ambos pulmones en un paciente con linfangioleiomiomatosis.
Image courtesy of Joyce Lee, MD, MAS.