Luxación perisemilunar
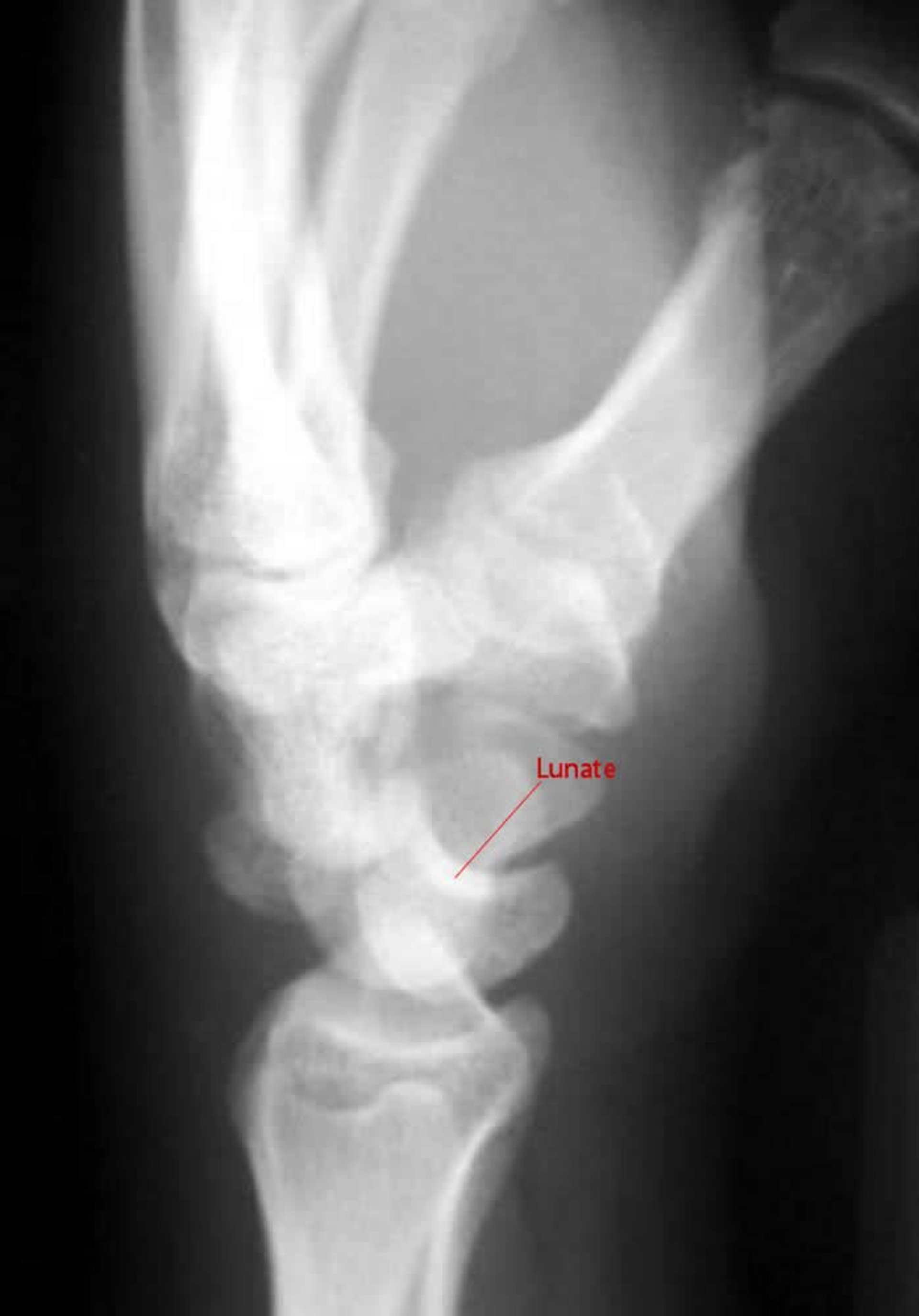
En una vista lateral de una luxación perisemilunar, el ganchoso no articula con el semilunar.
Image courtesy of Danielle Campagne, MD.
En estos temas
En una vista lateral de una luxación perisemilunar, el ganchoso no articula con el semilunar.
Image courtesy of Danielle Campagne, MD.