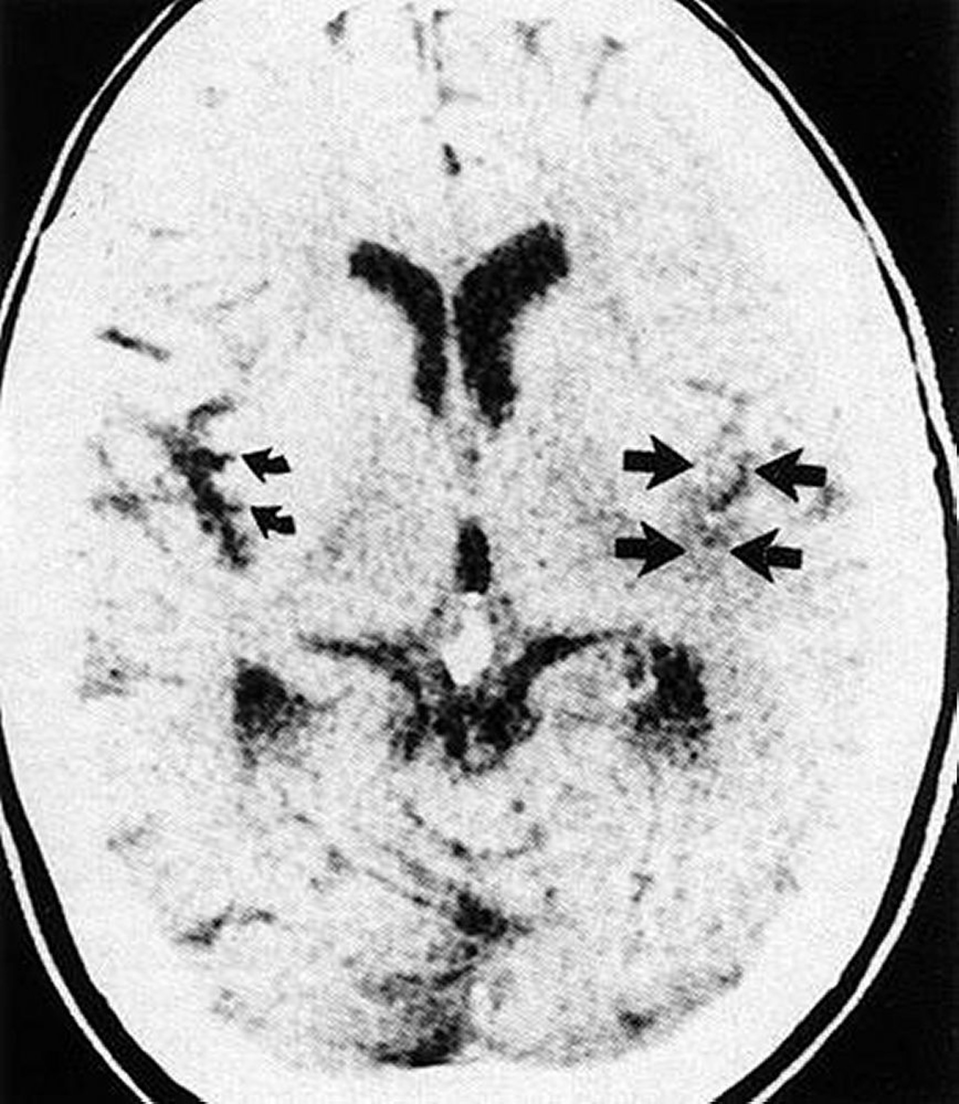
Pérdida de la cinta insular
Esta TC muestra el borramiento de la cisura de Silvio y la cinta insular (flechas rectas) en el lado infartado del cerebro en comparación con la cinta insular normal (flechas curvas).
By permission of the publisher. From Geremia G, Greenlee W. In Atlas of Cerebrovascular Disease. Edited by PB Gorelick and MA Sloan. Philadelphia, Current Medicine, 1996.
En estos temas
