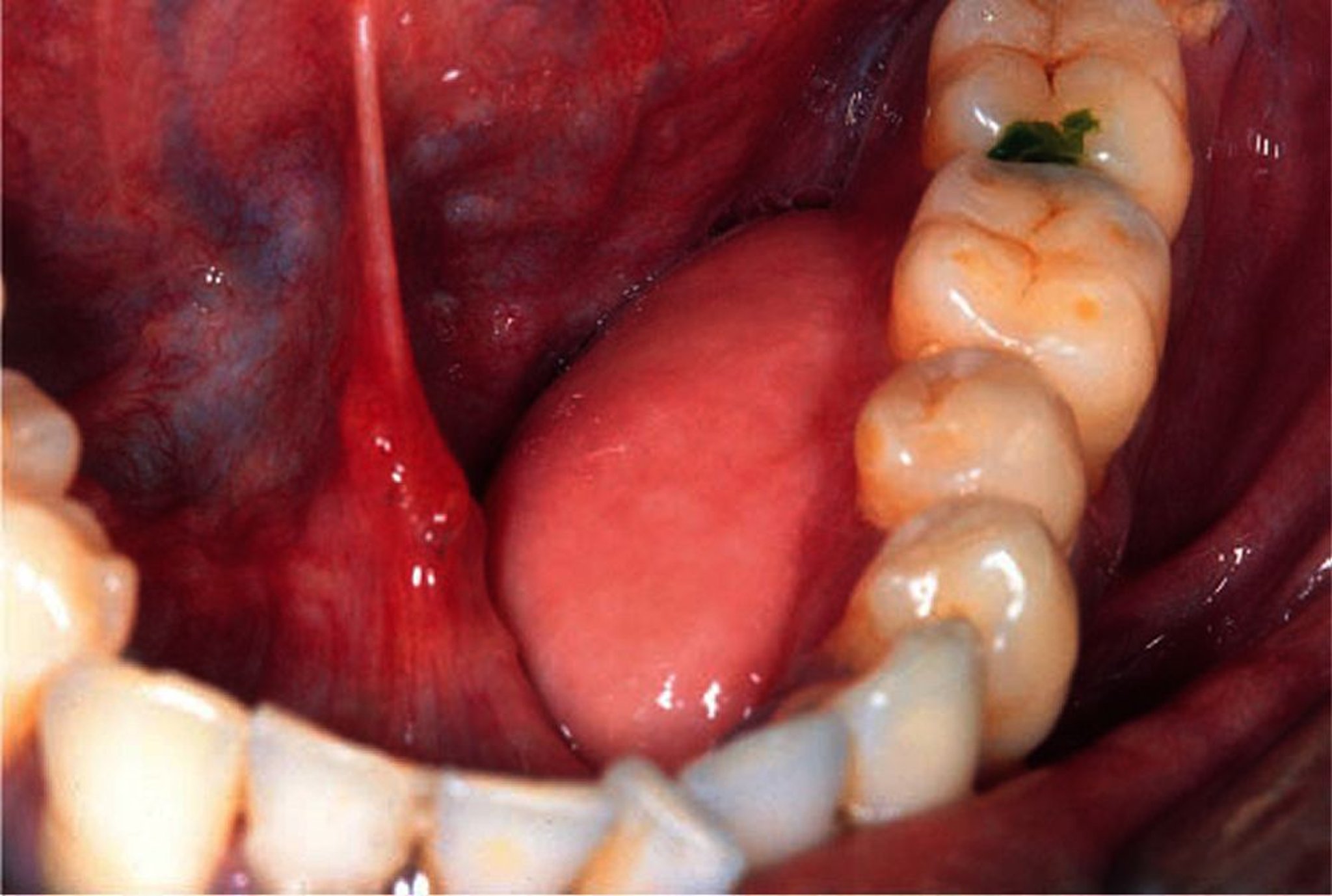
Rodete mandibular
Aqui se observa un tumor benigno en la cara lingual de la mandíbula en el lado izquierdo de la boca del paciente.
© Springer Science+Business Media
En estos temas
Aqui se observa un tumor benigno en la cara lingual de la mandíbula en el lado izquierdo de la boca del paciente.
© Springer Science+Business Media