Neumotórax

PorNajib M Rahman, BMBCh MA (oxon) DPhil, University of Oxford
Reviewed ByRichard K. Albert, MD, Department of Medicine, University of Colorado Denver - Anschutz Medical
Revisado/Modificado Modificado jul 2025
v923137_es
Vista para pacientes

El neumotórax es la presencia de aire en el espacio pleural que causa colapso pulmonar parcial o completo. El neumotórax puede aparecer espontáneamente o como resultado de traumatismos o procedimientos médicos. El diagnóstico se basa en criterios clínicos y en la radiografía de tórax. Dependiendo de los síntomas y la gravedad, el tratamiento puede consistir en intervención (aspiración transcatéter o toracostomía con tubo), o en observación y seguimiento cuidadoso.

Etiología del neumotórax

El neumotórax espontáneo primario se presenta en pacientes sin enfermedad pulmonar subyacente, clásicamente en varones delgados y altos, en la adolescencia y la tercera década de la vida. Se considera que se debe a la rotura espontánea de bullas o vesículas apicales subpleurales como consecuencia del hábito de fumar (marihuana o tabaco) o por causas hereditarias. En general se produce en reposo, aunque algunos casos suceden durante actividades que implican distensiones o estiramientos. El neumotórax espontáneo primario también ocurre durante el buceo y en vuelos a grandes alturas.

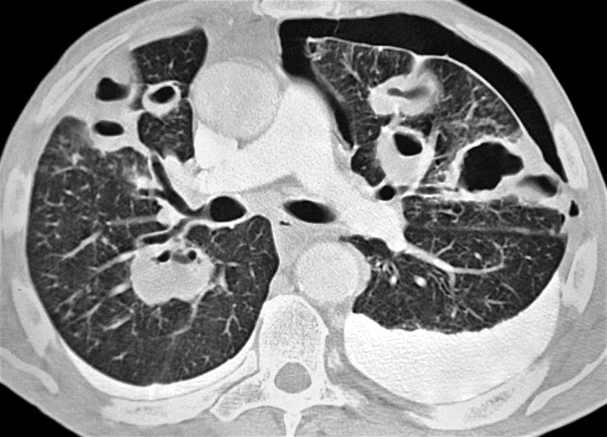
El neumotórax espontáneo secundario se produce en pacientes con enfermedad pulmonar subyacente. Con mayor frecuencia, es el resultado de la rotura de una vesícula o bulla en pacientes con enfermedad pulmonar obstructiva crónica grave (volumen espiratorio forzado en un segundo [VEF1] < 1 L), infección por Pneumocystis jirovecii relacionada con el VIH, fibrosis quística o cualquier enfermedad parenquimatosa pulmonar subyacente (véase tabla Causas de neumotórax espontáneo secundario). El neumotórax espontáneo secundario es más grave que el neumotórax espontáneo primario debido a que sucede en pacientes cuya enfermedad pulmonar subyacente reduce su reserva pulmonar.

El neumotórax catamenial es una forma rara de neumotórax espontáneo secundario que se produce dentro de las 48 horas del inicio de la menstruación en mujeres premenopáusicas y a veces en mujeres posmenopáusicas que consumen estrógenos. La causa es la endometriosis intratorácica, posiblemente debida a la migración del tejido endometrial peritoneal a través de defectos diafragmáticos o embolización a través de las venas pélvicas.

Tabla
Tabla

El neumotórax traumático es una complicación común de las lesiones torácicas penetrantes o no penetrantes.

El neumotórax iatrogénico se produce por intervenciones médicas, como aspiración con aguja transtorácica, toracocentesis, colocación de catéter venoso central, ventilación mecánica y reanimación cardiopulmonar.

Fisiopatología del neumotórax

La presión intrapleural normalmente es negativa (menor que la presión atmosférica) debido al retroceso hacia adentro del pulmón y hacia afuera de la pared torácica. En el neumotórax, el aire ingresa en el espacio pleural desde el exterior del tórax o desde el pulmón en sí a través de los planos de los tejidos mediastínicos o por perforación pleural directa. Aumenta la presión intrapleural y disminuye el volumen pulmonar.

El neumotórax a tensión o hipertensivo es un neumotórax que causa un aumento progresivo de la presión intrapleural a niveles que se tornan positivos durante todo el ciclo respiratorio y colapsa el pulmón, desplaza el mediastino y disminuye el retorno venoso al corazón. El aire sigue ingresando en el espacio pleural, pero no puede salir. Sin tratamiento adecuado, la alteración del retorno venoso sistémico puede causar hipotensión sistémica, paro respiratorio y paro cardíaco (actividad eléctrica sin pulso) en cuestión de minutos. El neumotórax a tensión se produce con mayor frecuencia en pacientes que reciben ventilación con presión positiva (con ventilación mecánica o sobre todo durante las maniobras de reanimación). En raras ocasiones, es una complicación del neumotórax traumático, cuando una herida en el tórax actúa como válvula unidireccional que atrapa el volumen creciente de aire en el espacio pleural durante la inspiración.

Signos y síntomas de neumotórax

Los neumotórax pequeños son ocasionalmente asintomáticos. Los síntomas del neumotórax incluyen disnea y dolor torácico pleural. La disnea puede ser repentina o gradual al inicio, según la velocidad de desarrollo y el tamaño del neumotórax. El dolor puede simular pericarditis, neumonía, pleuritis, embolia pulmonar, lesiones musculoesqueléticas (cuando están referido al hombro) o un proceso intrabdominal (cuando está referido al abdomen). El dolor también puede simular una isquemia cardíaca, aunque en general el dolor de la isquemia no es pleurítico.

Los hallazgos físicos consisten en ausencia del frémito táctil, hiperresonancia a la percusión y disminución de los ruidos respiratorios en el lado afectado. Si el neumotórax es grande, el lado afectado puede estar agrandado con la tráquea desplazada visible o palpable en el lado opuesto, y los ruidos respiratorios pueden estar ausentes en el lado afectado. Con el neumotórax a tensión, puede producirse hipotensión y paro cardiorrespiratorio.

Diagnóstico del neumotórax

  • Estudios de diagnóstico por imágenes del tórax

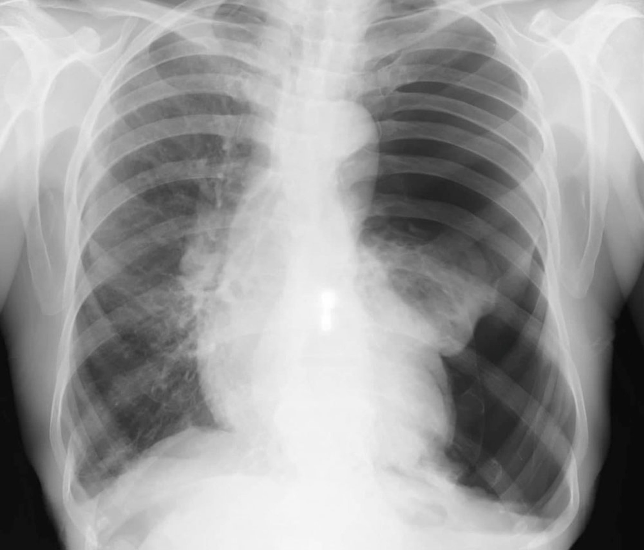
El diagnóstico se sospecha en pacientes cuya condición es estable pero que tienen disnea o dolor torácico pleurítico y por lo general se confirma con una radiografía de tórax inspiratoria en posición de pie. La densidad del tejido pulmonar aumenta si se obtienen placas en espiración, lo que aumenta la diferencia de contraste entre el aire en el espacio pleural y el tejido pulmonar adyacente (que tiene menos aire debido a una combinación del estado espiratorio y algun colapso). El aire radiotransparente y la ausencia de marcas pulmonares yuxtapuestas entre un lóbulo o pulmón contraído y la pleura parietal son diagnósticos de neumotórax. En los neumotórax grandes, se observan la desviación traqueal y el desplazamiento mediastínico. El diagnóstico también puede establecerse mediante ecografía realizada a la cabecera del paciente si la enfermedad pulmonar subyacente no impide la visualización adecuada.

El tamaño de un neumotórax se define como el porcentaje del hemitórax que está vacío. Este porcentaje se calcula mediante la resta de 1 menos la relación de los cubos del ancho del pulmón y del hemitórax. Por ejemplo, si el ancho del hemitórax es de 10 cm y el ancho del pulmón es de 5 cm, la relación es 53/103= 0,125. Por lo tanto, el tamaño del neumotórax es de alrededor de 1 menos 0,125 u 87,5%. Si hay adherencias entre el pulmón y la pared torácica, el pulmón no se contrae en forma simétrica, el neumotórax puede aparecer como atípicos o tabicado y el cálculo no es exacto.

Los neumotórax pequeños (p. ej., < 10%) a veces se pasan por alto en la radiografía de tórax. En los pacientes con posible neumotórax, los reparos pulmonares deben ser rastreados hasta el borde de la pleura en la radiografía de tórax. Incluso los neumotórax grandes pueden no ser evidentes en radiografías en decúbito supino, y debe buscarse específicamente el signo del surco profundo (un ángulo costofrénico anormalmente profundo), ya que puede ser el único signo de neumotórax en la radiografía de un paciente en esta posición. Las situaciones que imitan un neumotórax en la radiografía son ampollas enfisematosas, pliegues cutáneos, sábanas plegadas de la cama del paciente y superposición de las marcas del estómago o del intestino sobre los campos pulmonares.

La TC también permite una excelente visualización de los neumotórax y la enfermedad relacionada en pacientes en decúbito supino.

Perlas y errores

  • La hipotensión súbita en un paciente con ventilación mecánica debe impulsar la consideración de neumotórax a tensión. Si en el paciente también han disminuido los sonidos respiratorios y tiene hiperresonancia a la percusión, debe presumirse neumotórax a tensión e iniciar el tratamiento de inmediato, sin esperar la confirmación en la radiografía de tórax.

Tratamiento del neumotórax

  • Descompresión inmediata con aguja para los neumotórax a tensión

  • Observación y radiografía de seguimiento para los neumotórax espontáneos primarios asintomáticos independientemente de su tamaño

  • Aspiración con catéter o dispositivos de tratamiento ambulatorio para los neumotórax espontáneos primarios sintomáticos

  • Toracostomía con tubo para los neumotórax secundarios y traumáticos

El tratamiento depende del tipo, el tamaño y los efectos del neumotórax.

Independientemente del tamaño del neumotórax, el neumotórax espontáneo primario que no causa síntomas respiratorios o cardíacos puede ser observado de manera segura sin tratamiento si las radiografías de tórax de seguimiento realizadas a intervalos (primero a las 4 horas y luego semanalmente) hasta la resolución completa no muestran progresión y si el paciente está fisiológicamente estable. El seguimiento puede realizarse en forma ambulatoria. La oxigenoterapia para el neumotórax espontáneo primario en pacientes que no están hipoxémicos, aunque usada por algunos, es avalada por mínima evidencia y no forma parte de las recomendaciones actuales (1, 2, 3).

Los neumotórax espontáneos primarios sintomáticos deben ser evacuados mediante aspiración con catéter y dispositivos de tratamiento ambulatorio (dispositivo de drenaje conectado a una válvula unidireccional, con la que el paciente puede deambular, p. ej., válvula de Heimlich). Una alternativa es la toracostomía con tubo en un paciente hospitalizado.

La aspiración con catéter se logra mediante la inserción de un catéter de pequeño tamaño (usualmente de 7 a 9 French) IV o tipo pigtail en el tórax a nivel del segundo espacio intercostal en la línea medioclavicular. El catéter está conectado por medio de una llave de 3 vías a una jeringa. Se extrae aire del espacio pleural a través de la llave de paso en la jeringa y es expulsado en la habitación. El proceso se repite hasta que el pulmón vuelva a expandirse o se eliminen 4 L de aire. Si el pulmón se expande, puede retirarse el catéter o mantenerlo en el lugar conectado a una válvula unidireccional de Heimlich (que permite la deambulación) y no es necesario dejar hospitalizado al paciente. Si el pulmón no se expande, debe colocarse un tubo de tórax y el paciente debe ser hospitalizado. El neumotórax espontáneo primario también puede tratarse en un inicio con un tubo de tórax conectado a un sello de agua con aspiración o sin ella. Los pacientes con neumotórax espontáneo primario también deben recibir asesoramiento para dejar el hábito de fumar.

La toracostomía con tubo utilizando un tubo de drenaje de pequeño diámetro (< 14 French) en general se usa para los neumotórax secundarios y traumáticos. A los pacientes sintomáticos con neumotórax iatrogénico es mejor tratarlos en un inicio con aspiración.

EL neumotórax a tensión es una emergencia médica y debe diagnosticarse clínicamente; no debe perderse tiempo para confirmar el diagnóstico con una radiografía de tórax. Debe ser tratado de inmediato mediante toracostomía con aguja, que consiste en insertar una aguja de calibre 14 o 16 con un catéter lo suficientemente largo como para penetrar completamente la pared torácica, a través de la pared torácica en el segundo espacio intercostal en la línea medioclavicular. El ruido de escape de aire de alta presión confirma el diagnóstico. El catéter puede dejarse abierto al aire o conectado a una válvula de Heimlich. La descompresión de urgencia debe ser seguida inmediatamente por una toracostomía con tubo, tras lo cual se retira el catéter.

Referencias del tratamiento

  1. 1. Cheng HS, Wong C, Chiu PH, Tong CW, Miu PF. Management of spontaneous pneumothorax: a mini-review on its latest evidence. J Thorac Dis 2024;16(7):4756-4763. doi:10.21037/jtd-24-415

  2. 2. Roberts ME, Rahman NM, Maskell NA, et al. British Thoracic Society Guideline for pleural disease. Thorax 2023;78(Suppl 3):s1-s42. doi:10.1136/thorax-2022-219784

  3. 3. Speck KE, Kulaylat AN, Baerg JE, et al. Evaluation and Management of Primary Spontaneous Pneumothorax in Adolescents and Young Adults: A Systematic Review From the APSA Outcomes & Evidence-Based Practice Committee. J Pediatr Surg 2023;58(10):1873-1885. doi:10.1016/j.jpedsurg.2023.03.018

Complicaciones del neumotórax

Los 3 problemas principales al tratar el neumotórax son:

  • Fugas de aire

  • Fracaso en la expansión del pulmón

  • Edema pulmonar por reexpansión

Las fugas de aire suelen deberse al defecto primario (es decir, la pérdida continua de aire de los pulmones dentro del espacio pleural) pero también a filtraciones de aire alrededor del sitio de colocación del tubo de tórax, si el sitio no está bien suturado y sellado. Las filtraciones de aire son más comunes en el neumotórax espontáneo secundario que en el primario. La mayoría se resuelve espontáneamente en < 1 semana.

El fracaso de los pulmones para reexpandirse es por lo general secundario a uno de los siguientes:

  • Fuga de aire persistente

  • Obstrucción endobronquial

  • Pulmón atrapado

  • Tubo torácico mal posicionado

Debe considerarse la pleurodesis con sangre (parche hemático), las v{alvulas endobronquiales, la toracoscopia o la toracotomía si la filtración de aire o la expansión incompleta del pulmón persiste más allá de 1 semana.

El edema pulmonar por reexpansión se produce cuando el pulmón se expande rápidamente, como sucede cuando un tubo de tórax se conecta a la presión negativa después de que el pulmón ha estado colapsado durante > 2 días. El tratamiento es sintomático, con oxígeno, diuréticos y medidas sintomáticas cardiopulmonares según sea necesario.

Prevención del neumotórax

Las tasas de recurrencia en estudios de gran envergadura oscilaron entre 19 y 29% al año después del neumotórax espontáneo primario inicial (1, 2), pero fueron más altas en los casos de neumotórax secundario.

El mejor procedimiento preventivo es la cirugía torácica asistida por video (VATS) en el que se colocan grapas en las bullas y se realiza la pleurodesis con abrasión pleural, pleurectomía parietal o insuflación de talco; en algunos centros, todavía se utiliza ocasionalmente la toracotomía.

Estos procedimientos se recomiendan en el neumotórax primario recidivante, en algunos casos después de un primer episodio (p. ej., neumotórax a tensión, profesión de riesgo [p. ej., pilotos, buceo]), en el neumotórax secundario, o cuando el tratamiento inicial no resuelve el neumotórax con pérdida continua de aire. Después de estos procedimientos, la recurrencia es menor (3). Si la toracoscopia no se puede realizar o está contraindicada, se puede hacer una pleurodesis química a través de un tubo de tórax; este procedimiento reduce la tasa de recurrencia, pero no en la medida de la VATS, lo que significa que la VATS es la técnica preferida siempre que sea posible (4).

Referencias de la prevención

  1. 1. Hallifax RJ, Goldacre R, Landray MJ, Rahman NM, Goldacre MJ. Trends in the Incidence and Recurrence of Inpatient-Treated Spontaneous Pneumothorax, 1968-2016. JAMA 2018;320(14):1471-1480. doi:10.1001/jama.2018.14299

  2. 2. Walker SP, Bibby AC, Halford P, Stadon L, White P, Maskell NA. Recurrence rates in primary spontaneous pneumothorax: a systematic review and meta-analysis. Eur Respir J 2018;52(3):1800864. Published 2018 Sep 6. doi:10.1183/13993003.00864-2018

  3. 3. Lin Z, Zhang Z, Wang Q, Li J, Peng W, Ge G. A systematic review and meta-analysis of video-assisted thoracoscopic surgery treating spontaneous pneumothorax. J Thorac Dis 2021;13(5):3093-3104. doi:10.21037/jtd-21-652

  4. 4. Elsayed HH, Hassaballa A, Ahmed T. Is video-assisted thoracoscopic surgery talc pleurodesis superior to talc pleurodesis via tube thoracostomy in patients with secondary spontaneous pneumothorax? Interact Cardiovasc Thorac Surg 2016;23(3):459-461. doi:10.1093/icvts/ivw154

Conceptos clave

  • El neumotórax espontáneo primario se presenta en pacientes sin enfermedad pulmonar subyacente, clásicamente en varones delgados y altos, en la adolescencia y en la tercera década de la vida.

  • El neumotórax espontáneo secundario se produce en pacientes con enfermedad pulmonar subyacente; con mayor frecuencia resulta de la rotura de una vesícula enfisematosa pulmonar o una bulla en pacientes con enfermedad pulmonar obstructiva crónica grave.

  • El diagnóstico se hace con radiografía de tórax o ecografía, en posición erguida, excepto para el neumotórax a tensión, que se diagnostica clínicamente tan pronto como se sospeche.

  • El neumotórax espontáneo primario que no causa síntomas respiratorios o cardíacos puede manejarse con conducta expectante si las radiografías de tórax de seguimiento hechas a las 4 horas aproximadamente no muestran progresión, con seguimiento regular durante las semanas siguientes.

  • Los neumotórax espontáneos primarios sintomáticos deben ser evacuados mediante aspiración con catéter, dispositivos ambulatorios, o con un tubo de toracostomía.

  • Los neumotórax secundarios y traumáticos son generalmente tratados con tubo de toracostomía.

  • La cirugía torácica vídeoasistida y otros procedimientos pueden ayudar a prevenir las recurrencias de neumotórax espontáneo.

quizzes_lightbulb_red
Test your KnowledgeTake a Quiz!
ANDROID iOS
ANDROID iOS
ANDROID iOS