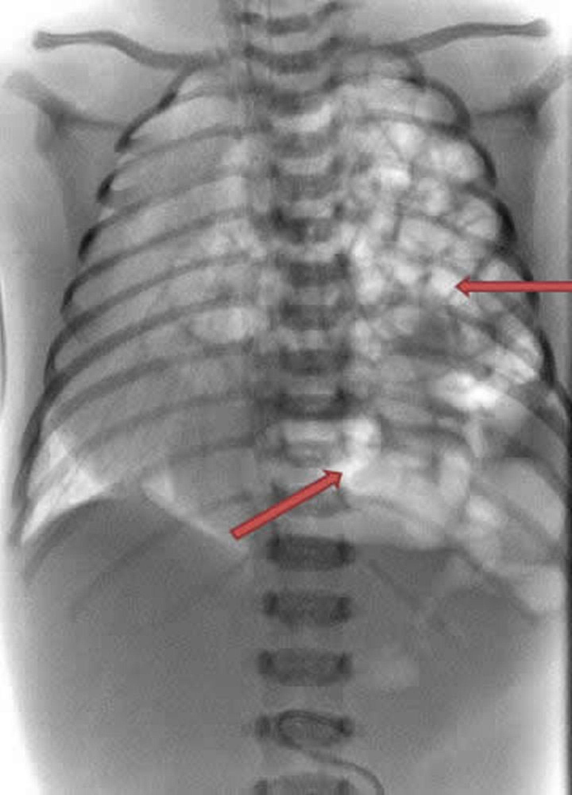
Hernie diaphragmatique
Cette radiographie d’un nouveau-né montre la protrusion des intestins (en blanc) sur la gauche du thorax (flèches).
DU CANE MEDICAL IMAGING LTD/SCIENCE PHOTO LIBRARY
Dans ces sujets
Cette radiographie d’un nouveau-né montre la protrusion des intestins (en blanc) sur la gauche du thorax (flèches).
DU CANE MEDICAL IMAGING LTD/SCIENCE PHOTO LIBRARY