La rougeole est une infection virale très contagieuse qui entraîne divers symptômes pseudo-grippaux et une éruption cutanée caractéristique. Elle peut provoquer des complications graves et peut être mortelle chez certaines personnes. La vaccination est efficace pour la prévention.
La rougeole est causée par un virus.
Les symptômes comprennent une fièvre, un écoulement nasal, une toux sèche, des yeux rouges et une éruption cutanée rouge.
Le diagnostic repose généralement sur les symptômes typiques, l’éruption caractéristique et la présence de taches blanches dans la gorge.
Des analyses de laboratoire sont réalisées pour confirmer le diagnostic de rougeole chez les personnes présentant des symptômes correspondants et chez celles présentant des facteurs de risque d’exposition à la rougeole.
Il n’existe pas de médicament antiviral pour la rougeole ; le traitement vise donc à soulager les symptômes.
Les enfants atteints de la rougeole peuvent être traités avec de la vitamine A.
Bien que la majorité des personnes se rétablissent, la rougeole peut s’avérer mortelle ou entraîner des lésions cérébrales.
La vaccination de routine prévient l’infection.
La rougeole est rare dans les régions où la plupart des personnes ont reçu le vaccin contre la rougeole. Avant l’ère de la vaccination, les épidémies de rougeole survenaient tous les 2 à 3 ans, notamment chez les enfants d’âge préscolaire et scolaire, avec de petits foyers localisés en dehors de ces périodes.
Dans certains pays, la rougeole est encore courante. Dans le monde, la rougeole touche chaque année environ 10 millions de personnes et cause environ 100 000 décès, principalement des enfants.
Aux États-Unis, grâce à la vaccination infantile systématique, la rougeole est rare. Entre 2000 et 2010, seuls 71 cas par an en moyenne ont été signalés aux Centers for Disease Control and Prevention (CDC, Centres de contrôle et de prévention des maladies des États-Unis).
En 2019, 1 274 cas de rougeole ont été signalés aux CDC. Il s’agit du chiffre le plus élevé depuis 1992. L’augmentation observée en 2019 est principalement due aux personnes non vaccinées qui ont contracté l’infection dans des pays où la rougeole est plus fréquente et qui se sont ensuite rendues aux États-Unis. En 2020, seuls 13 cas de rougeole ont été recensés aux États-Unis dans le contexte de la pandémie mondiale de COVID-19. Entre 2020 et 2023, 242 cas combinés ont été rapportés, et il y a eu 285 cas en 2024 aux États-Unis.
Le nombre total de cas et le nombre de foyers épidémiques ont augmenté de manière significative en 2025. Entre le mois de janvier et le 22 mai 2025, 1 046 cas et 3 décès ont été signalés aux États-Unis. Il y a eu 14 foyers épidémiques et 92 % des cas étaient associés à un foyer épidémique. À titre de comparaison, 16 foyers épidémiques ont été signalés sur toute l’année 2024.
Le nombre de foyers épidémiques et les cas globaux de rougeole augmentent, car le taux de vaccination diminue. L’hésitation vaccinale est devenue une cause plus fréquente de la diminution du taux de vaccination. L’hésitation vaccinale désigne le fait que les parents retardent ou refusent l’administration de la totalité ou d’une partie des vaccins recommandés à leurs enfants. Par exemple, le taux de vaccination chez les enfants de maternelle aux États-Unis a diminué, passant de 95,2 % pour l’année scolaire 2019–2020 à 92,7 % pour l’année scolaire 2023–2024.
Transmission de la rougeole
Les personnes s’infectent généralement en inhalant de petites ou grosses gouttelettes d’humidité expulsées par la toux d’une personne infectée. Les personnes peuvent s’infecter en touchant des surfaces sur lesquelles les gouttelettes atterrissent, mais cette voie d’infection est beaucoup moins fréquente. La plupart des personnes non immunisées contre la rougeole contractent l’infection après avoir été exposées au virus.
La phase de contagion de la rougeole s’étend de 4 jours avant à 4 jours après l’apparition de l’éruption cutanée. Les personnes atteintes de rougeole peuvent ne pas se rendre compte qu’elles sont infectées ou contagieuses, et peuvent transmettre l’infection à d’autres personnes sans le savoir.
Les voyages dans les régions où la rougeole est fréquente ou où un foyer épidémique est actif sont un facteur de risque de transmission de la rougeole.
Une femme enceinte qui a eu la rougeole ou qui a été vaccinée transmettra son immunité, sous forme d’anticorps, à son enfant par le biais du placenta. Cette immunité persiste pendant les 6 à 12 premiers mois de vie. Par la suite, cependant, les enfants exposés au virus de la rougeole sont exposés à un risque élevé d’infection, sauf s’ils sont vaccinés.
Les personnes qui ont eu la rougeole développent une immunité et ne peuvent généralement pas la contracter à nouveau. Les adultes nés avant 1957 sont également présumés avoir été exposés à la rougeole et donc être immunisés.
Symptômes de la rougeole
La rougeole est une infection virale contagieuse qui se développe généralement selon un schéma temporel typique (le nombre de jours est approximatif et varie d’une personne à l’autre) :
Exposition : Il s’agit du moment où une personne entre en contact avec le virus.
Période d’incubation : Après l’exposition, il faut généralement 7 à 21 jours (en moyenne 11 à 12 jours) pour que les symptômes apparaissent. Pendant ce temps, le virus est présent dans l’organisme, mais la personne ne se sent pas malade.
Prodrome : Cette phase dure environ 3 à 7 jours. Des symptômes tels que fièvre, toux, écoulement nasal et rougeur des yeux apparaissent pendant cette période, et de petites taches blanches peuvent apparaître dans la gorge, mais l’éruption cutanée n’est pas encore présente.
Éruption cutanée : L’éruption cutanée apparaît après la phase de prodrome et dure environ 4 à 7 jours. Elle apparaît généralement sur le visage et se propage au reste du corps. Après cette période, l’éruption cutanée commence à disparaître rapidement. Si aucune complication ne se développe, la personne commence à se sentir mieux.
Les symptômes de la rougeole apparaissent environ 11 à 12 jours après l’exposition au virus. La personne infectée commence par présenter de la fièvre, un écoulement nasal, une toux sèche et les yeux rouges.
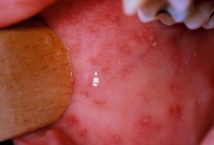
Avant le début de l’éruption cutanée, des taches de Koplik peuvent apparaître à l’intérieur de la bouche. Les taches de Koplik sont de petits boutons rouge vif avec un centre blanc ou blanc bleuté. Leur centre peut ressembler à un grain de sable.
Les taches de Koplik sont des boutons rouge vif avec un centre blanc ou blanc bleuté pouvant ressembler à des grains de sable. Elles peuvent toucher n’importe quelle région de la bouche chez les personnes qui ont la rougeole.
Les taches de Koplik sont des boutons rouge vif avec un centre blanc ou blanc bleuté pouvant ressembler à des grains de
Image publiée avec l’aimable autorisation de la Public Health Image Library des Centers for Disease Control and Prevention.
Koplik spots are bright red spots with white or bluish white centers that may resemble grains of sand. They may occur anywhere in the mouth in people who have measles.
Koplik spots are bright red spots with white or bluish white centers that may resemble grains of sand. They may occur a
DR P. MARAZZI/SCIENCE PHOTO LIBRARY
Koplik spots are bright red spots with white or bluish white centers that may resemble grains of sand. They may occur anywhere in the mouth in people who have measles.
Koplik spots are bright red spots with white or bluish white centers that may resemble grains of sand. They may occur a
DR P. MARAZZI/SCIENCE PHOTO LIBRARY
Une éruption cutanée apparaît 3 à 7 jours après le début des symptômes. L’éruption cutanée apparaît d’abord sur le visage, devant et sous les oreilles, et sur les faces latérales du cou. Elle se présente sous la forme de plaques plates irrégulières qui se surélèvent rapidement. L’éruption cutanée est rouge chez les personnes à la peau claire et peut être violacée ou plus foncée que la zone environnante chez les personnes à la peau foncée. L’éruption se propage en 1 à 2 jours au tronc, aux bras, aux jambes, aux paumes des mains et aux plantes des pieds, puis commence à disparaître sur le visage. La peau peut peler lorsque l’éruption cutanée sur le visage s’estompe.
Cette photo présente l’éruption cutanée causée par la rougeole.
Cette photo présente l’éruption cutanée causée par la rougeole.
Image publiée avec l’aimable autorisation de la Bibliothèque d’images de santé publique (Public Health Image Library) des Centres américains pour le contrôle et la prévention des maladies (Centers for Disease Control and Prevention, CDC).
This photo shows the rash caused by measles.
This photo shows the rash caused by measles.
SCIENCE PHOTO LIBRARY
This photo shows the rash caused by measles.
This photo shows the rash caused by measles.
CDC/ Betty G. Partin
Lorsque l’infection est la plus grave, la personne se sent très malade et développe une inflammation oculaire (conjonctivite), un gonflement et une sensibilité aux lumières vives ; l’éruption cutanée est étendue et la température de la personne peut dépasser 40 °C.
Sous 4 à 7 jours supplémentaires, la température chute, la personne commence à se sentir mieux, et le reste de l’éruption cutanée disparaît rapidement. L’éruption cutanée prend une couleur brunâtre, puis la peau se détache.
Les personnes infectées sont contagieuses de 4 jours avant à 4 jours après le début de l’éruption cutanée.
Complications de la rougeole
Les jeunes enfants et les femmes enceintes, les personnes dénutries ou celles dont le système immunitaire est affaibli présentent un risque accru de développer des complications dues à la rougeole. La rougeole peut entraîner une immunodépression qui persiste plusieurs mois ou plusieurs années après la guérison de la rougeole, et peut prédisposer les personnes précédemment infectées à d’autres infections.
Les infections bactériennes associées à la rougeole, appelées surinfections, comprennent la pneumonie, la bronchite et l’otite moyenne (infection de l’oreille moyenne).
Une pneumonie causée par la rougeole au niveau des poumons survient chez environ 6 % des malades. Dans les cas mortels de rougeole chez les nourrissons, la pneumonie est souvent la cause du décès.
Une inflammation hépatique passagère (hépatite) et une diarrhée peuvent apparaître au cours d’une infection.
Une infection cérébrale (voir encéphalite) survient chez environ 1 enfant sur 1 000 atteints de rougeole. En cas d’encéphalite, celle-ci débute souvent par une fièvre élevée, des céphalées, des convulsions et un coma, en général 2 jours à 2 semaines après l’apparition de l’éruption cutanée. La maladie peut être courte, guérissant en 1 semaine environ, ou durer plus longtemps, provoquant des lésions cérébrales ou le décès.
Un saignement excessif peut survenir après résolution de la rougeole car le taux de plaquettes a baissé (thrombocytopénie). Les personnes présentent généralement une ecchymose et un saignement léger, mais occasionnellement, le saignement est important.
La panencéphalite sclérosante subaiguë est une complication rare et mortelle de la rougeole. Elle provoque des lésions cérébrales et une détérioration cérébrale progressive. Ces symptômes peuvent se développer jusqu’à 7 à 10 ans après une infection par la rougeole et sont plus fréquents chez les personnes initialement infectées par la rougeole lorsqu’elles étaient jeunes enfants (moins de 5 ans).
Diagnostic de la rougeole
Examen clinique
Analyses de laboratoire
Les médecins suspectent la rougeole chez les personnes qui présentent des symptômes typiques d’un rhume, des taches de Koplik et une éruption cutanée caractéristique.
Les médecins confirment le diagnostic en prélevant des échantillons de sang, d’urine, dans le nez et dans la gorge, et en les envoyant à un laboratoire pour analyse. Ces analyses sont particulièrement utiles pour diagnostiquer les personnes qui présentent des symptômes et qui ne sont pas vaccinées ou pas complètement vaccinées, ou qui ont récemment été exposées au virus de la rougeole.
Traitement de la rougeole
Vitamine A pour les enfants
Médicaments pour réduire la fièvre
Parfois, antibiotiques si une infection bactérienne se développe
Aucun médicament antiviral ne permet de traiter la rougeole.
Les personnes infectées hospitalisées doivent être placées dans des chambres d’hôpital spéciales et isolées des autres pendant leur maladie. Les personnes infectées qui ne sont pas hospitalisées doivent sévèrement limiter les contacts avec autrui pendant leur maladie.
Les médecins prescrivent de la vitamine A aux enfants atteints de la rougeole, parce qu’elle s’est révélée réduire le nombre de décès et d’infections graves liés à la rougeole dans les pays où la carence en vitamine A est fréquente.
Du paracétamol ou de l’ibuprofène peuvent être administrés pour baisser la fièvre.
Des antibiotiques peuvent être administrés aux personnes qui développent d’autres infections causées par des bactéries, telles qu’une otite.
Pronostic de la rougeole
Aux États-Unis, la rougeole est mortelle chez environ 1 à 3 personnes infectées sur 1 000. Dans le monde, la rougeole est mortelle chez environ 1 personne infectée sur 100.
Chez les nourrissons infectés, les personnes ayant un accès limité aux soins médicaux, les personnes souffrant de malnutrition sévère et de carence en vitamine A, et les personnes qui développent une pneumonie, les taux de décès dû à la rougeole sont plus élevés.
Voir aussi Complications de la rougeole.
Prévention de la rougeole
vaccin ROR
Prévention avant l’exposition
Les personnes préalablement infectées par la rougeole sont immunisées. Cela comprend tous les adultes nés avant 1957, qui sont présumés immunisés contre la rougeole parce qu’ils ont probablement été exposés au virus.
Deux doses de vaccin contre la rougeole sont efficaces à 96 % dans la prévention de la rougeole. La vaccination contre la rougeole est administrée dans le cadre du vaccin combiné rougeole-oreillons-rubéole (ROR), qui contient des virus vivants mais affaiblis de la rougeole, des oreillons et de la rubéole. Le vaccin ROR est l’une des vaccinations de routine de l’enfance et il est administré aux enfants dans la plupart des pays qui ont des infrastructures de soins de santé robustes.
Le calendrier vaccinal ROR à 2 doses a été introduit en 1989 ; par conséquent, les adultes nés entre 1957 et 1989 peuvent n’avoir reçu qu’une seule dose de vaccin. Pour les adultes de cette tranche d’âge, 1 à 2 doses supplémentaires sont recommandées chez ceux dont les analyses de sang ne confirment pas qu’ils sont immunisés et qui sont exposés à un risque accru d’infection (par exemple, étudiants à l’université, professionnels de la santé, voyageurs internationaux, contacts de personnes immunodéprimées et personnes infectées par le VIH).
Le vaccin ROR confère généralement une immunité durable et a permis de réduire de 99 % le nombre de cas de rougeole aux États-Unis.
Chez certaines personnes, la vaccination provoque une fièvre légère et une éruption cutanée, mais cela n’est pas contagieux. Le vaccin ROR ne provoque pas de trouble du spectre autistique (voir Vaccin rougeole-oreillons-rubéole [ROR] : Préoccupations concernant le trouble du spectre autistique).
Le ROR est un vaccin vivant et n’est pas administré pendant la grossesse. Il n’est pas non plus administré à certaines personnes dont le système immunitaire est sévèrement affaibli ou aux personnes qui ont présenté une réaction allergique grave et potentiellement mortelle (comme une réaction anaphylactique) à un composant du vaccin ou à une dose précédente du vaccin.
Pour plus d’informations sur les personnes qui doivent ou non recevoir le vaccin ROR, voir Posologie et recommandations concernant le vaccin ROR. Voir aussi Effets secondaires du vaccin ROR.
Traitement préventif après exposition
Les enfants (et les adultes) exposés à la rougeole et qui n’ont pas d’immunité peuvent recevoir le vaccin ROR dans les 3 jours qui suivent l’exposition ; ils pourront alors être protégés. Si le vaccin ne peut pas être administré dans les 3 jours ou si la personne exposée n’est pas éligible pour recevoir le vaccin, des immunoglobulines sont administrées immédiatement (dans les 6 jours).
Les personnes ayant reçu des immunoglobulines par injection intramusculaire peuvent recevoir le vaccin ROR 6 mois plus tard, et les personnes ayant reçu des immunoglobulines par injection intraveineuse peuvent recevoir le vaccin ROR 8 mois plus tard.



