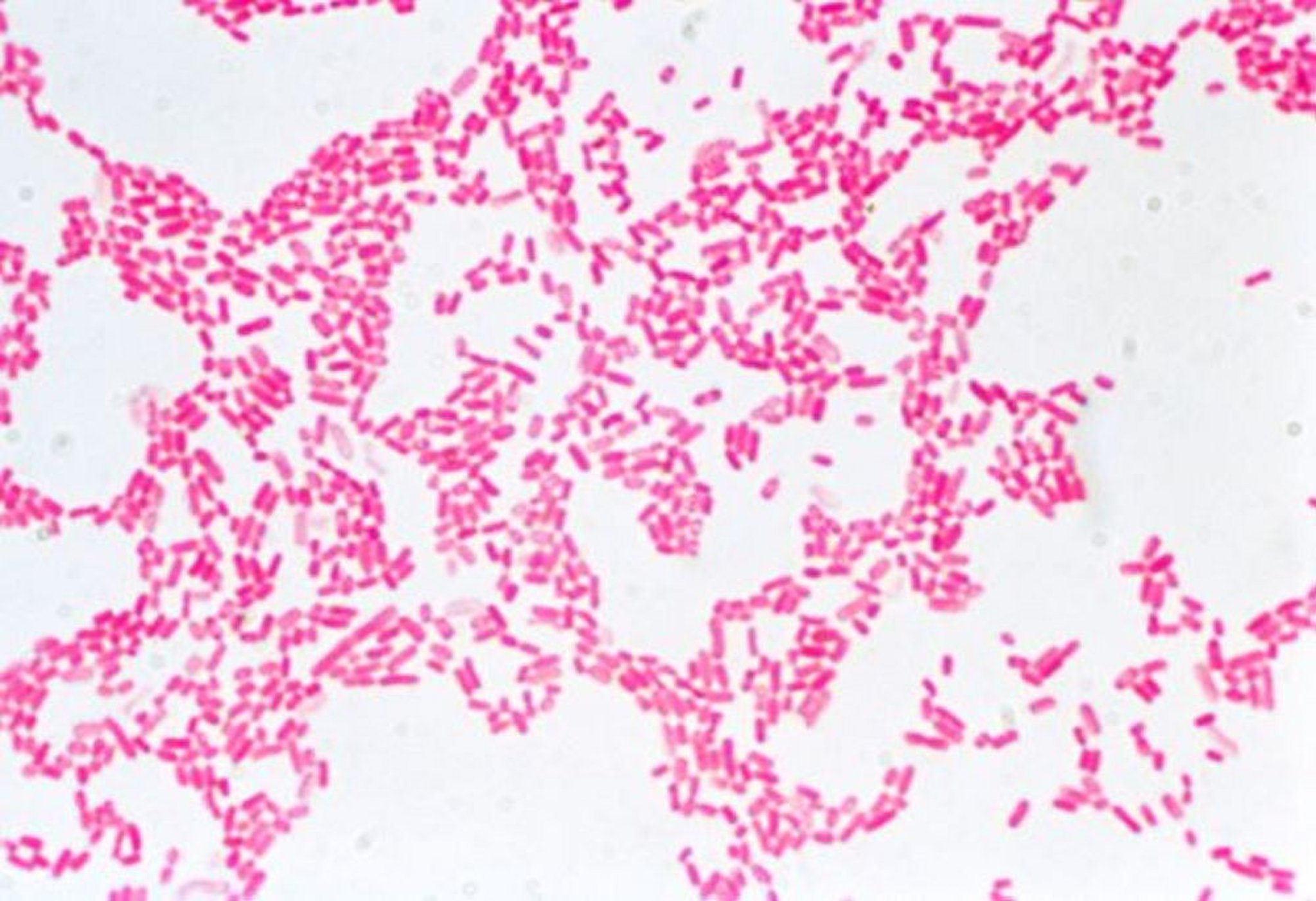
Coloration de Gram (Escherichia coli)
Cette image est une micrographie optique d'E. Coli colorée au Gram, en forme de bâtonnet, de bactéries mobiles. Leur couleur rouge indique qu'ils sont Gram négatifs. Le grossissement est de 400X à une dimension de 35 mm.
DR. ROSALIND KING/SCIENCE PHOTO LIBRARY
Dans ces sujets
