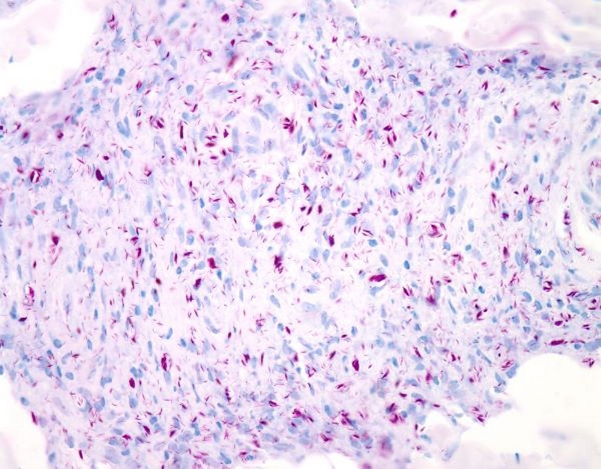
Coloration Ziehl-Neelsen de Mycobacterium leprae
Cette image est une micrographie optique sous coloration de Ziehl-Neelsen modifiée (coloration de Wade-Fite) de M. leprae d'une biopsie cutanée d'un sujet atteint de lèpre lépromateuse. Les mycobactéries apparaissent en rouge et sont présentes en grand nombre, isolément et en groupes (globi). Le grossissement est de 20X lors d'une impression en 10 cm de large.
WEBPATHOLOGY/SCIENCE PHOTO LIBRARY
Dans ces sujets
